|
Münster (upm).
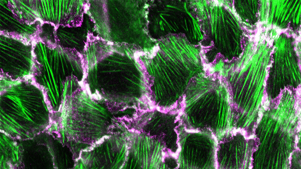
Die Abbildung zeigt die in der Studie verwendeten Haut-Epithelzellen von Mäusen. Die Färbung der im Labor kultivierten Zellen macht deutlich, dass die Zell-Zell-Kontakte (magenta) nicht nur die einzelnen Zellen miteinander verknüpfen, sondern auch als Ankerpunkte für das Zellskelett (Aktin-Zytoskelett, grün) dienen.<address>© Lukas Windgasse und Carsten Grashoff</address>
Die Abbildung zeigt die in der Studie verwendeten Haut-Epithelzellen von Mäusen. Die Färbung der im Labor kultivierten Zellen macht deutlich, dass die Zell-Zell-Kontakte (magenta) nicht nur die einzelnen Zellen miteinander verknüpfen, sondern auch als Ankerpunkte für das Zellskelett (Aktin-Zytoskelett, grün) dienen.
© Lukas Windgasse und Carsten Grashoff

Wie Epithelverbindungen reifen: Strukturveränderungen in zentralem Protein entdeckt

Biologen machen Details der Bildung von Zellverbindungen in Epithelien sichtbar

Epithelien sind Zellverbände, die die inneren und äußeren Oberflächen des Körpers auskleiden. Ohne sie könnten sich weder Tiere noch Menschen entwickeln und überleben. Für die Stabilität der Epithelien sind robuste, aber gleichzeitig flexible Verbindungen zwischen den einzelnen Zellen nötig. Diese sogenannten Adhäsionsverbindungen enthalten Komplexe aus speziellen Membranproteinen, den Cadherinen. Die molekularen Details, die der Formierung dieser wichtigen Strukturen zugrunde liegen, sind noch nicht vollständig geklärt. Eine Studie aus der Arbeitsgruppe von Prof. Dr. Carsten Grashoff am Institut für Integrative Zellbiologie und Physiologie der Universität Münster gibt nun Aufschluss über diesen grundlegenden zellbiologischen Prozess.

Die Autoren zeigen, dass die Reifung von Adhäsionsverbindungen, die beispielsweise in der Haut und im Darm des Menschen zu finden sind, mit einer strukturellen Veränderung des Proteins α-Catenin einhergeht. Dieses Protein hat sich bereits zuvor als wesentlich für die Bildung von Zell-Zell-Kontakten in Tieren erwiesen. Die räumliche Anordnung der Atome in der sogenannten C-terminalen Aktin-bindenden Domäne dieses Proteins ändert sich, wenn Adhäsionsverbindungen reifen. Man nimmt an, dass diese Änderung die Zell-Zell-Verbindungen stärkt. Sie korreliert jedoch nicht, wie bei Stabilisierungsprozessen zu erwarten wäre, mit einem erniedrigten, sondern mit einem erhöhten Proteinumsatz. Der identifizierte Mechanismus könnte daher erklären, warum Epithelgewebe mechanisch stabile und dennoch dynamische Strukturen bilden können.

Für ihre Studie setzten die Autoren die Kombination eines neuartigen α-Catenin-Biosensors mit sogenannter Fluoreszenzlebensdauer- und Anisotropie-Bildgebung ein, was eine quantitative Beschreibung in lebenden Zellen und Gewebe ermöglicht. Die Arbeit wurde durch die Deutsche Forschungsgemeinschaft gefördert.

Originalveröffentlichung

Lukas Windgasse und Carsten Grashoff (2025): A conformational change in α-catenin’s actin-binding domain governs adherens junction maturation. Communications Biology 8, 1325; DOI: 10.1038/s42003-025-08785-3

Links zu dieser Meldung