
Forscher finden Strukturen zur schnellen Leitung von Nervenimpulsen bei Insekten
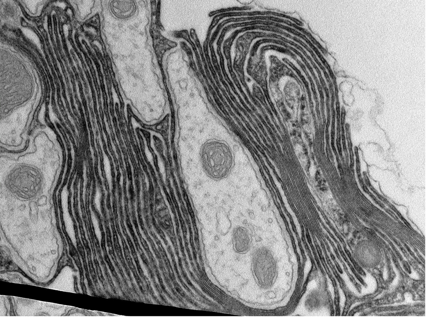
Das Gehirn der Tiere besteht aus zwei verschiedenen Zelltypen: Neurone, die Informationen verarbeiten und versenden und Gliazellen, die die Neurone auf vielfältige Weise unterstützen. Der französische Anatom Louis-Antoine Ranvier stellte im Jahr 1871 eine Besonderheit von Neuronen bei Wirbeltieren vor: So gibt es an den Fortsätzen dieser Nervenzellen ringförmige Regionen, an denen die Hüllschicht – das von Gliazellen gebildete Myelin – fehlt. Die „Ranvier’schen Schnürringe“ sind gemeinsam mit der elektrisch isolierenden Myelinhülle eine Grundlage dafür, dass elektrische Nervenimpulse über längere Strecken sehr schnell weitergegeben werden können. Sie „springen“ mit einer Geschwindigkeit von bis zu 100 Metern pro Sekunde von Schnürring zu Schnürring. Diese „saltatorische Erregungsleitung“ wurde lange als spezifisch für Wirbeltiere angesehen. Ein Forschungsteam um den Neurobiologen Prof. Dr. Christian Klämbt von der Westfälischen Wilhelms-Universität (WWU) Münster hat jetzt am Beispiel der Taufliege (Drosophila melanogaster) erstmals gezeigt, dass es auch bei Insekten ähnliche Strukturen gibt. Die Studie ist in der Fachzeitschrift eLife veröffentlicht.
Die Arbeit hilft nicht nur, die Evolution von Myelin nachzuvollziehen, sondern wird es auch erlauben, die Biologie der Myelin-Bildung und -Regeneration genauer zu erforschen. Dies ist vor dem Hintergrund neurodegenerativer Erkrankungen wie Multipler Sklerose von großer Bedeutung. Bei der Therapie wird dabei bislang der Fokus auf die Unterdrückung der Entzündungsreaktion gelegt und die Förderung einer effektiven Re-Myelinisierung ist bisher nicht möglich. „Unsere Erkenntnisse werden daher auch dazu beitragen, Wege zu alternative Therapieformen beispielsweise für Multiple Sklerose aufzudecken“, sagt Christian Klämbt.
Für ihre Untersuchungen setzten die Forscher Methoden der molekularen Genetik in Kombination mit verschiedenen modernen bildgebenden Verfahren ein. Dazu zählt die neuartige elektronenmikroskopische Darstellung von markierten Proteinen und besonders hochauflösende konfokale Mikroskopie.
Die Deutsche Forschungsgemeinschaft (DFG) unterstützte die Arbeit finanziell (SFB 1348, B5, Kl 588/29).
Originalveröffentlichung
Simone Rey, Henrike Ohm, Frederieke Moschref, Dagmar Zeuschner, Marit Praetz, and Christian Klämbt (2023): Glial-dependent clustering of voltage-gated ion channels in Drosophila precedes myelin formation. eLife; DOI: 10.7554/eLife.85752