|
Münster (upm/mfm/sw)
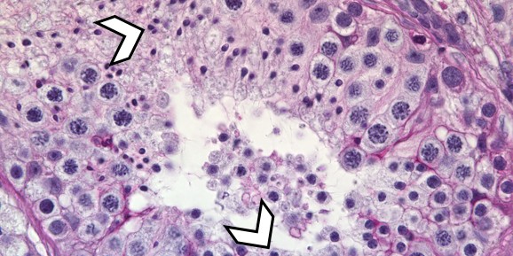
Histologie: Querschnitt durch den Hoden eines Mannes mit normaler Spermienbildung (A) und eines Mannes mit M1AP-Mutation (B). Die Pfeile zeigen auf Spermien (weiß) beziehungsweise auf die Zellen, aus denen im Normalfall Spermien hervorgehen (gelb/schwarz).<address>© Nadja Rotte</address>
Histologie: Querschnitt durch den Hoden eines Mannes mit normaler Spermienbildung (A) und eines Mannes mit M1AP-Mutation (B). Die Pfeile zeigen auf Spermien (weiß) beziehungsweise auf die Zellen, aus denen im Normalfall Spermien hervorgehen (gelb/schwarz).
© Nadja Rotte

Reproduktionsgenetik: Neues Gen für männliche Infertilität entdeckt

Forschungsteam analysiert Erbgut von unfruchtbaren Männern

Störung bei der Spermienbildung: Männliche Unfruchtbarkeit beschäftigt nicht nur die Betroffenen, sondern auch das Team um Prof. Dr. Frank Tüttelmann. Mit einer Vielzahl unterschiedlicher Projekte versucht die Arbeitsgruppe (AG) Reproduktionsgenetik der Medizinischen Fakultät der Westfälischen Wilhelms-Universität Münster (WWU) weiteren Ursachen für männliche Unfruchtbarkeit (Infertilität) auf den Grund zu gehen. Die jüngste Erkenntnis: Die Identifizierung eines neuen Gens namens M1AP, das als relevante Ursache für männliche Zeugungsunfähigkeit angesehen wird. Die Ergebnisse dieser Forschung, die unter der Leitung von Frank Tüttelmann, Corinna Friedrich und Margot Wyrwoll entstanden sind, wurden jetzt in der Fachzeitschrift „American Journal of Human Genetics“ veröffentlicht - sie stellen einen wichtigen Fortschritt in der Aufklärung männlicher Infertilität dar.

Während der zwei Jahre dauernden Forschungsarbeiten ist es der AG Reproduktionsgenetik unter anderem gelungen, eine spezifische Mutation in M1AP nachzuweisen, die vermutlich auf einen gemeinsamen Vorfahren der europäischen Bevölkerung zurückzuführen ist. Auf der Basis von DNA-Sequenzierungsdaten von annähernd 2.000 unfruchtbaren männlichen Patienten, hat die Arbeitsgruppe vier Patienten aus Münster, fünf Mitglieder einer Familie aus der Türkei, zwei Fälle aus Portugal und je einen Patienten aus Gießen, Nimwegen und Newcastle ausfindig machen können, bei denen verschiedene Mutationen im M1AP-Gen nachgewiesen werden konnten.

Die Gesichter hinter der Forschung: Arbeitsgruppenleiter Prof. Dr. Frank Tüttelmann, Dr. Margot Wyrwoll (M.) und Dr. Corinna Friedrich<address>© Nadja Rotte</address>
Die Gesichter hinter der Forschung: Arbeitsgruppenleiter Prof. Dr. Frank Tüttelmann, Dr. Margot Wyrwoll (M.) und Dr. Corinna Friedrich
© Nadja Rotte
Die genetischen Veränderungen konnten dabei auf beiden elterlichen Genkopien gefunden werden. Konkret bedeutet das, dass der Betroffene die Genveränderung sowohl von mütterlicher als auch väterlicher Seite geerbt hat - die Mediziner gehen daher von einem autosomal-rezessiven Erbgang aus. Somit repräsentieren Mutationen in M1AP eine relativ häufige Ursache für eine schwerwiegende Störung der Spermienbildung und männlicher Infertilität mit starker klinischer Validität. M1AP erreicht damit ein hohes Evidenzlevel – das ist in der Genetik eine außergewöhnliche Leistung.

Zurzeit besteht noch nicht die Möglichkeit einer Behandlung dieser Patienten, um die Chancen, Kinder zeugen zu können, signifikant zu steigern. Selbst die Entnahme von Hodenbiopsien, aus denen man in der Regel reife Spermien entnehmen und diese für künstliche Befruchtung nutzen könnte, führt nicht zu dem Erfolg einer Schwangerschaft - denn die Wahrscheinlichkeit, Spermien im Hoden zu finden, ist bei diesen Patienten sehr gering. Trotzdem stellen die Ergebnisse des WWU-Forschungsteams zu M1AP einen Fortschritt in der Ursachenaufklärung männlicher Infertilität dar: Den Patienten eine Erklärung für das Ausbleiben einer natürlichen Schwangerschaft zu liefern, ist für die meisten Paare ein hilfreicher erster Schritt. Weiterhin lässt sich dadurch die genetische und reproduktive Beratung von Mann und Frau verbessern und erhöhen. Die Sequenzierung des M1AP-Gens wird deshalb unmittelbar in die zukünftige genetische Routinediagnostik integriert.

Frank Tüttelmann ist nicht nur Leiter der Arbeitsgruppe, sondern auch wissenschaftlicher Leiter der klinischen Forschungsgruppe „Male Germ Cells“. Seit 2017 erforscht das interdisziplinäre Team Ursachen zur Infertilität des Mannes mit dem Ziel, die Zahl der Männer ohne Diagnose für ihre Zeugungsunfähigkeit zu halbieren. Die Deutsche Forschungsgemeinschaft (DFG) unterstützt dieses Vorhaben: Jüngst bewilligte die DFG eine zweite Förderrunde über weitere drei Jahre mit einer Fördersumme von 5,7 Millionen Euro.

Originalpublikation:

M. J. Wyrwoll et al. (2020): Bi-allelic Mutations in M1AP Are a Frequent Cause of Meiotic Arrest and Severely Impaired Spermatogenesis Leading to Male Infertility. American Journal of Human Genetics; DOI: 10.1016/j.ajhg.2020.06.010

Links zu dieser Meldung