|
Münster (upm).
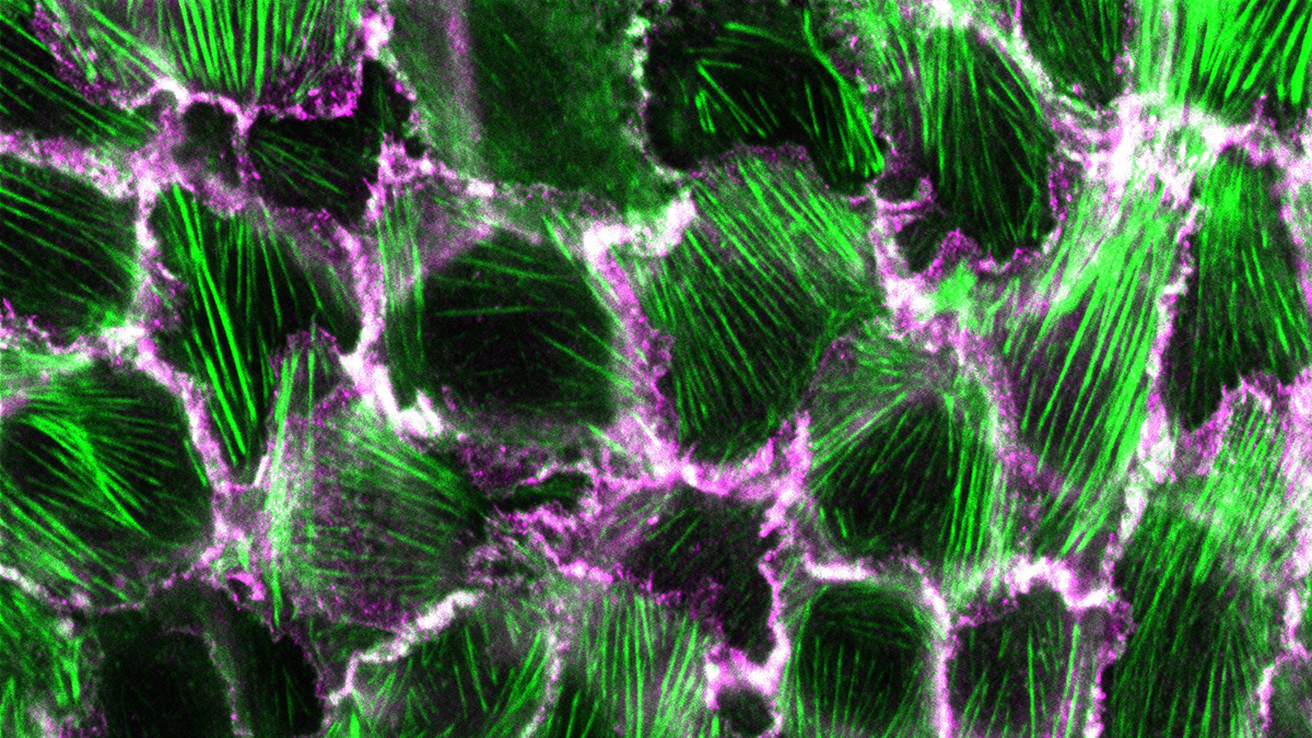
The image shows the skin epithelial cells used in the study, which originate from mice. The staining of the cells cultivated in the laboratory clearly shows that the cell-cell contacts (magenta) not only link the individual cells together, but also serve as anchor points for the cytoskeleton (actin cytoskeleton, green).<address>© Lukas Windgasse und Carsten Grashoff</address>
The image shows the skin epithelial cells used in the study, which originate from mice. The staining of the cells cultivated in the laboratory clearly shows that the cell-cell contacts (magenta) not only link the individual cells together, but also serve as anchor points for the cytoskeleton (actin cytoskeleton, green).
© Lukas Windgasse und Carsten Grashoff

How epithelial junctions mature: Study shows conformational transition in key protein

Biologists at the University of Münster reveal details of how cell junctions form in epithelia

Epithelial tissues cover the inner and outer surfaces of the body, and neither animals nor humans could develop and survive without them. Robust yet flexible connections between individual cells are necessary for the stability of epithelia. These so-called adhesion junctions are formed around membrane proteins called cadherins. However, the molecular details underlying the formation of these important structures are not yet fully understood. A study by Prof. Carsten Grashoff's research group at the Institute for Integrative Cell Biology and Physiology at the University of Münster has now shed new light on this fundamental biological process.

The authors demonstrate that the maturation of adhesion junctions – which are found, for example, in human skin and intestines – is accompanied by a structural change within a protein that has previously been shown to be essential for the formation of cell-cell contacts in animals: α-catenin. The spatial arrangement of atoms in the so-called C-terminal actin-binding domain of this protein changes as adhesion junctions mature. This change is believed to strengthen cell-cell connections but contrary to what would have been expected, it does not correlate with reduced protein turnover, but rather with increased protein turnover. The identified mechanism could therefore explain why epithelial tissues can form mechanically stable yet dynamic structures.

For their study, the authors used a combination of a novel α-catenin biosensor with fluorescence lifetime and anisotropy imaging, which enables quantitative analyses in living cells and tissue. The work was funded by the German Research Foundation.

 

Original publication

Lukas Windgasse and Carsten Grashoff (2025): A conformational change in α-catenin’s actin-binding domain governs adherens junction maturation. Communications Biology 8, 1325; DOI: 10.1038/s42003-025-08785-3

Further information