Foto eines Magnetresonanztomographen
© EIMI/Jahn Müller

AG Translationale Bildgebung (Prof. Michael Schäfers)

Inspiriert durch klinische Herausforderungen entwerfen wir neue molekulare und zelluläre Bildgebungsstrategien, die es erlauben spezifisch Charakteristika von humanen Erkrankungen darzustellen. Diese neuen Strategien werden in Krankheitsmodellen getestet und im Erfolgsfall in Richtung eines Einsatzes am Menschen weiterentwickelt. Diese translationalen Ansätze werden durch eine enge Vernetzung mit der Klinik für Nuklearmedizin des Universitätsklinikums Münster unter der Leitung von M. Schäfers ermöglicht. Dort sind ein Zyklotron, eine GMP-PET-Radiochemie sowie state-of-the-art Hybrid-Scanner wie PET-CT und PET-MRT vorhanden, die translationale Studien in gut charakterisierten Patientenkohorten ermöglichen. Dies ist Grundlage für zukünftige klinische Studien.

  • News & Themen aus der Forschung

  • Projekte

    Darstellung von Entzündungen mittels Mikroskopie (links) und Ganzkörperbildgebung (PET-CT, rechts)
    © Uni MS – AG Kiefer/AG Schäfers

    Sonderforschungsbereich „inSight – Darstellung organspezifischer Entzündung durch multiskalige Bildgebung“ (SFB 1450)

    In diesem Verbundforschungsprojekt befassen wir uns mit der Frage, wie der Körper Entzündungen in unterschiedlichen Organen reguliert, und entwickeln hierzu eine spezifische Bildgebungsmethodik, mit der sich Informationen von der einzelnen Zelle bis zum gesamten Organismus zusammenbringen lassen.

    Sprecher: Michael Schäfers (EIMI), stellvertretender Sprecher: Friedemann Kiefer (EIMI)
    Projektlaufzeit: 01/2025 - 12/2028
    Förderkennzeichen: SFB 1450 | DFG

     

    Bildgebung der Nierenfunktion einer Maus mittels 99mTc-MAG3
    © AG Schäfers M

    Klinische Forschungsgruppe „Organdysfunktion im Rahmen systemischer Inflammationssyndrome“ (KFO 342) Teilprojekt P8 „Die Rolle von Glutamin in akuten Nierenversagen“

    Wir untersuchen mit bildgebenden Verfahren molekulare, immunologische und zelluläre Signalwege, die für systemische Entzündungsreaktionen wie die Sepsis und nachfolgendes Nierenversagen relevant sind. Hierbei liegt ein Schwerpunkt auf dem Effekt einer Glutamingabe zur Verhinderung der Entstehung eines akuten Nierenversagens.

    Projektleitung: Alexander Zarbock, Michael Schäfers (EIMI)
    Projektlaufzeit: 02/2020 - 01/2023
    Förderkennzeichen: KFO 342 P8 | DFG

    TraCAR: Nicht-invasive Bildgebung der Pharmakokinetik und Optimierung von CAR T-Zell-Therapien solider Tumoren

    Ein vielversprechender neuartiger Therapieansatz zur Behandlung von Tumoren ist die Immuntherapie unter Verwendung von CAR T-Zellen, welche bereits bei hämatologischen Tumoren gute Erfolge erzielen konnte. Ziel dieses Projektes ist die Entwicklung von nuklearmedizinischen Bildgebungsstrategien für die Darstellung dieser Therapie im Maus Tumormodell. Dies ermöglicht die bildgebungsgestützte Optimierung von neuartigen CAR-T-Zell Therapien - potentiell auch im Patienten.

    Koordinator: Wa’el al Rawashdeh, Miltenyi Biotec, Bergisch Gladbach
    Involvierte EIMI-Mitglieder: Michael Schäfers, Sonja Schelhaas
    Projektlaufzeit: 12/2019 - 11/2022
    Förderkennzeichen: Leitmarktagentur.NRW, LS-2-2-050

    Verteilung von Immunzellen im Körper einer Maus, aufgenommen mit optischer Bildgebung
    © S. Gran & L. Honold et al./Theranostics 2018(8)

    Immune-Image

    In diesem Projekt entwickeln wir Methoden, mit denen Immunzellen vor, während und nach einer Immunbehandlung beobachtet werden können. Wir sehen uns die Vorgänge zunächst in Krankheitsmodellen bei Tieren an – mit dem Ziel, die Ergebnisse und Methoden zeitnah auf Patienten zu übertragen und letztendlich Immuntherapien bei Krankheiten wie Krebs oder Entzündungen „bildgesteuert“ zu verbessern.

    Koordinator: Albert D. Windhorst (Amsterdam University Medical Centre, Niederlande)
    Involvierte EIMI-Mitglieder: Michael Schäfers, Andreas Jacobs, Andreas Faust, Sven Hermann, Friedemann Kiefer, Sabine Stötzer
    Projektlaufzeit: 10/2019 - 09/2024
    Förderkennzeichen: Innovative Medicines Initiative 2 Joint Undertaking, grant agreement No 831514

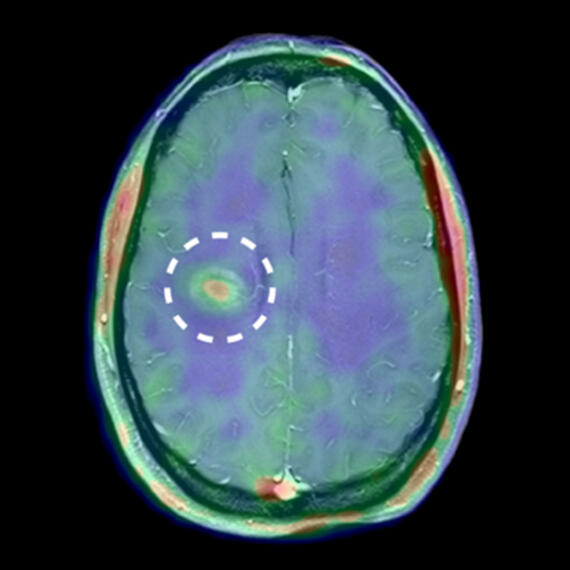
    MMP-Aktivität im Gehirn eines MS-Patienten
    © Gerwien & Hermann et al., Sci. Transl. Med. 8, 364ra152 (2016) 9 November 2016

    Molecular mechanisms and in vivo tracking of leukocyte penetration of the blood-brain barrier (BBB) in autoimmune CNS inflammation

    Wir untersuchen die Funktion der Proteine MMP-2 und MMP-9 an der Blut-Hirn-Schranke. Unser Ziel ist es, die MMP-Aktivität zu nutzen, um Leukozyten sichtbar zu machen, die die Blut-Hirn-Schranke durchdringen. Diese spielen bei der Multiplen Sklerose eine Rolle, wenn Immunzellen ins Gehirn wandern und dort Entzündungen verursachen.

    Projektleitung: Lydia Sorokin, Michael Schäfers (EIMI)
    Projektlaufzeit: 07/2012 - 06/2020
    Förderkennzeichen: SFB TRR 128 B03 | DFG Sonderforschungsbereich/Transregio 128 "Multiple Sklerose"

    Preclinical Imaging eXperts (PIX)

    Die Core Unit „Preclinical Imaging eXperts“ (PIX) des Interdisziplinären Zentrums für Klinische Forschung (IZKF) bietet Zugang zur integrierten multimodalen Bildgebung. Innerhalb des PIX-Konsortiums stellt das EIMI in vivo SPECT/CT und PET/MRT(1T), FRI und Photoakustische Bildgebung für andere Arbeitsgruppen zur Verfügung.

    Koordinatoren: Sven Hermann (EIMI), Michael Schäfers (EIMI)
    Projektlaufzeit: seit 01/2012
    Förderkennzeichen: IZKF Core Unit PIX | Medizinische Fakultät, Universität Münster

  • Team

  • Publikationen

    2026

    Muther M, Konig L, Backhaus P, Stummer W, Grauer OM, Schafers M, Schindler P, Weckesser M, Roll W. Prognostic value of [(18)F]FET-PET in diffuse low-grade (grade 2) gliomas after the 2021 classification of CNS tumors. Eur J Nucl Med Mol Imaging 2026;53: 1951-1961. Abstract

    2025

    Backhaus P, Cazzamalli S, Oehler S, Buther F, Brosch-Lenz J, Landau F, Breyholz H-J, Claesener M, Migliorini F, Ciamarone A, Georgiev T, Mock J, Ventura D, Barca C, Schiefelbein L, Hermann S, Schafers K, Gierse F, Bernemann C, Schlack K, Bogemann M, Puca E, Schindler P, Neri D, Rahbar K, Schrader AJ, Seifert KE, Schafers M. Translational and First-in-Human Positron Emission Tomography Targeting Prostatic Acid Phosphatase in Prostate Cancer Using the Ligand [(68)Ga]Ga-OncoACP3-DOTA. Eur Urol 2025Abstract
    Backhaus P, Seitzer K, Cazzamalli S, Oehler S, Migliorini F, Ciamarone A, Georgiev T, Mock J, Bögemann M, Breyholz HJ, Landau F, Büther F, Puca E, Neri D, Rahbar K, Schrader A, Schäfers M. A new theranostic target in prostate cancer: First results from prostatic acid phosphatase (ACP3) imaging with [68Ga]Ga-OncoACP3-DOTA PET in prostate cancer patients and comparison to [18F]F-PSMA-1007 2025;66
    Holzgreve A, Hellwig D, Barthel H, Beer AJ, Kobe C, Lapa C, Miederer M, Schwarzenbock S, Seifert R, Todica A, Herrmann K, Bengel FM, Schafers M, Moka D, Luster M, Fendler WP. PET imaging utilization and trends in Germany: a comprehensive survey. Eur J Nucl Med Mol Imaging 2025Abstract
    Karpinski MJ, Rahbar K, Bogemann M, Nikoukar LR, Schafers M, Hoberuck S, Miederer M, Holscher T, Rasul S, Miszczyk M, Lanfranchi F, Bauckneht M, Pfob CH, Kind F, Goffin K, Husing A, Kesch C, Herrmann K, Stuschke M, Gafita A, Husing J, Calais J, Hofman MS, Hope TA, Miksch J, Soeterik TFW, Di Giorgio A, Farolfi A, Bjartell A, Tragardh E, Unterrainer LM, Holzgreve A, Sheikh GT, Rauscher I, Eiber M, Hadaschik BA, Fendler WP. Updated Prostate Cancer Risk Groups by Prostate-specific Membrane Antigen Positron Emission Tomography Prostate Cancer Molecular Imaging Standardized Evaluation (PPP2): Results from an International Multicentre Registry Study. Eur Urol 2025Abstract
    Kochel R, Schwegmann K, Breyholz H-J, Schafers M, Wagner S, Wunsch B. Novel [(18)F]Fluorine-Based PET Tracers with Polar But Nonbasic Linkers to Image the Fibroblast Activation Protein in the Microenvironment of Tumors. J Med Chem 2025Abstract
    Kochel R, Wagner S, Schwegmann K, Schafers M, Breyholz H-J, Wunsch B. Synthesis of piperazine-based fluorinated fibroblast activation protein inhibitors for the development of a novel (18)F-labeled PET imaging probe. Eur J Med Chem 2025;290: 117513. Abstract
    Konken C, Van Wyngaerden N, Dabel J, Heiden N, Schäfers M, Glorius F. Imidazolium-based cholesterol analogs and Ac4MannAz for specific cell targeting using [18F]DBCO derivatives. Nuclear Medicine and Biology 2025;150-151: 109413. Abstract
    Kroger K, Pepper NB, Ventura D, Troschel FM, Backhaus P, Rahbar K, Glasbrenner B, Bruwer M, Pascher A, Schafers M, Eich HT, Roll W. FAPI-PET/CT guided radiotherapy for patients with esophageal cancer. Radiat Oncol 2025;20: 29. Abstract
    Müther M, Böning G, Gildehaus F, Delbridge C, Albert N, Schäfers M, Delker A, Stegger L, Zeidler R, Reulen H, Roll W, Stummer W. A A Phase I Trial To Determine The Maximum Tolerated Dose And Patient-Specific Dosimetry Of Fractionated Intracavitary Radioimmunotherapy With Lutetium-177 Labeled 6a10 Fab Fragments In Patients With Glioblastoma - Preliminary Results From The First Patient Cohort 2025;27: iii81-iii82. Abstract
    Muther M, Konig L, Backhaus P, Stummer W, Grauer OM, Schafers M, Schindler P, Weckesser M, Roll W. Prognostic value of [(18)F]FET-PET in diffuse low-grade (grade 2) gliomas after the 2021 classification of CNS tumors. Eur J Nucl Med Mol Imaging 2025Abstract
    Peddi A, Schache D, Lippe C, Samawar SKR, Kuhlmann M, Niehaus P, Soltwisch J, Hoffmann E, Nahardani A, Niland S, Gonzalez NA, Dreisewerd K, Karst U, Sorokin L, Schaefers M, Wildgruber M, Faber C, Hoerr V. Characterization of myocardial infarction by in vivo chemical exchange saturation transfer magnetic resonance imaging using natural D-glucose. J Cardiovasc Magn Reson 2025;28: 102667. Abstract
    Reuter S, Reiermann S, Stypmann J, Bautz J, Schutte-Nutgen K, Pavenstadt H, Malyar V, Reinecke H, Kurosinski M-A, Gorlich D, Hense H-W, Suwelack B, Schafers M. Myocardial Perfusion Scintigraphy Provides Incremental Prognostic Value in Patients on the Kidney Transplant Waiting List. Clin Transplant 2025;39: e70114. Abstract
    Schöning J, Rosner L, Depke DA, Huwel S, Kukhar A, Schäfers M, Rentmeister A. Toolbox of Clickable Benzylguanines for Labeling of HoxB8-Derived Macrophages via SNAP-Tag and Bioorthogonal Chemistry. Bioconjug Chem 2025;36: 34-43. Abstract
    Seifert KE, Schlack K, Cazzamalli S, Oehler S, boegemann M, Migliorini F, Ciamarone A, Georgiev T, Mock JC, Breyholz H-J, Ventura D, Landau F, Buether F, Puca E, Neri D, Rahbar K, Schrader AJ, Schäfers M, Backhaus P. Imaging and treatment of the prostatic acid phosphatase with [68Ga]Ga-OncoACP3-DOTA and [177Lu]Lu-OncoACP3-DOTA in prostate cancer patients. Annals of Oncology 2025;36: S1220-S1221. Abstract
    Ventura D, Ernst I, Timma B, Schafers M, Backhaus P. Basal Cell Carcinoma of the Head With Intense [ 68 Ga]OncoFAP Uptake. Clin Nucl Med 2025;50: e182-e183. Abstract
    Ventura D, Schindler P, Kies P, Bleckmann A, Mohr M, Lenz G, Schafers M, Roll W, Evers G. Predicting response and survival to first-line treatment with baseline [(18)F]FDG-PET-CT in patients with small-cell lung cancer: an integrated diagnostic approach. Ther Adv Med Oncol 2025;17: 17588359251379665. Abstract

    2024

    Bredensteiner L, Ventura D, Rassek P, Schafers M, Bogemann M, Schindler P, Weckesser M, Rahbar K, Roll W. Determination of the optimal imaging protocol for [18F]PSMA-PET-CT for the detection of bone metastases in prostate cancer patients. Nuklearmedizin 2024Abstract
    Höffgen KS, Dabel J, Konken CP, Depke DA, Hermann S, Dörner W, Schelhaas S, Schäfers M, Mootz HD. Combining poly-epitope MoonTags and labeled nanobodies for signal amplification in cell-specific PET imaging in vivo. Nucl Med Biol 2024;136-137: 108937. Abstract
    Korthals D, Bietenbeck M, Konemann H, Doldi F, Ventura D, Schafers M, Mohr M, Wolfes J, Wegner F, Yilmaz A, Eckardt L. Cardiac Sarcoidosis-Diagnostic and Therapeutic Challenges. J Clin Med 2024;13Abstract
    Landau F, Hermann S, Schelhaas S, Schafers M, Niemann S, Faust A. 18F-labelled gentiobiose as potential PET-radiotracer for specific bacterial imaging: precursor synthesis, radiolabelling and in vitro evaluation. Nuklearmedizin 2024Abstract
    Margeta R, Schelhaas S, Hermann S, Schäfers M, Niemann S, Faust A. A novel radiolabelled salmochelin derivative for bacteria-specific PET imaging: synthesis, radiolabelling and evaluation. Chem Commun (Camb) 2024Abstract
    Prasad VP, Wagner S, Keul P, Hermann S, Levkau B, Schafers M, Haufe G. Synthesis, radiosynthesis and biochemical evaluation of fluorinated analogues of sphingosine-1-phosphate receptor 3 specific antagonists using PET. Bioorg Med Chem 2024;104: 117697. Abstract
    Roll W, Bauer J, Dik A, Mueller C, Backhaus P, Rauber S, Zinnhardt B, Gallus M, Wimberley C, Kortvelyessy P, Schindler P, Stenzel W, Elger CE, Becker A, Lewerenz J, Wiendl H, Meuth SG, Schafers M, Melzer N. [(18)F]DPA-714-PET-MRI reveals pronounced innate immunity in human anti-LGI1 and anti-CASPR2 limbic encephalitis. J Neurol 2024Abstract
    Roll W, Masthoff M, Kohler M, Rahbar K, Stegger L, Ventura D, Morgul H, Trebicka J, Schäfers M, Heindel W, Wildgruber M, Schindler P. Radiomics-Based Prediction Model for Outcome of Radioembolization in Metastatic Colorectal Cancer. Cardiovasc Intervent Radiol 2024;47: 462-471. Abstract
    Seifert R, Telli T, Lapa C, Desaulniers M, Hekimsoy T, Weber WA, Pfob C, Hadaschik B, Bogemann M, Schafers M, Herrmann K, Rahbar K, Eiber M, Fendler WP. Safety and Efficacy of Extended Therapy with [(177)Lu]Lu-PSMA: A German Multicenter Study. J Nucl Med 2024;65: 909-916. Abstract
    Sollmann L, Eveslage M, Danzer MF, Schäfers M, Heitplatz B, Conrad E, Hescheler D, Riemann B, Noto B. Additional Value of Pertechnetate Scintigraphy to American College of Radiology Thyroid Imaging Reporting and Data Systems and European Thyroid Imaging Reporting and Data Systems for Thyroid Nodule Classification in Euthyroid Patients. Cancers 2024;16: 4184. Abstract
    Ventura D, Dittmann M, Büther F, Schäfers M, Rahbar K, Hescheler D, Claesener M, Schindler P, Riemann B, Seifert R, Roll W. Diagnostic Performance of [(18)F]TFB PET/CT Compared with Therapeutic Activity [(131)I]Iodine SPECT/CT and [(18)F]FDG PET/CT in Recurrent Differentiated Thyroid Carcinoma. J Nucl Med 2024;65: 192-198. Abstract
    Ventura D, Rassek P, Schindler P, Akkurt BH, Bredensteiner L, Bogemann M, Schlack K, Seifert R, Schafers M, Roll W, Rahbar K. Early treatment response assessment with [(177)Lu]PSMA whole-body-scintigraphy compared to interim PSMA-PET. Cancer Imaging 2024;24: 126. Abstract

    2023

    Bauer N, Maisuls I, Pereira da Graca A, Reinhardt D, Erapaneedi R, Kirschnick N, Schäfers M, Grashoff C, Landfester K, Vestweber D, Strassert CA, Kiefer F. Genetically encoded dual fluorophore reporters for graded oxygen-sensing in light microscopy. Biosens Bioelectron 2023;221: 114917. Abstract
    Cufe J, Gierse F, Schäfers KP, Hermann S, Schäfers MA, Backhaus P, Büther F. Dispersion-corrected extracorporeal arterial input functions in PET studies of mice: a comparison to intracorporeal microprobe measurements. EJNMMI Res 2023;13: 86. Abstract
    Eilsberger F, Lapa C, Klasner B, Schafers MA, Luster M. [Hand in hand - the future of SPECT and PET imaging]. Nuklearmedizin 2023;62: 52-53. Abstract
    Galbiati A, Dorten P, Gilardoni E, Gierse F, Bocci M, Zana A, Mock J, Claesener M, Cufe J, Büther F, Schäfers K, Hermann S, Schäfers M, Neri D, Cazzamalli S, Backhaus P. Tumor-Targeted Interleukin 2 Boosts the Anticancer Activity of FAP-Directed Radioligand Therapeutics. J Nucl Med 2023Abstract
    Gallus M, Roll W, Dik A, Barca C, Zinnhardt B, Hicking G, Mueller C, Naik VN, Anstotz M, Kramer J, Rolfes L, Wachsmuth L, Pitsch J, van Loo KMJ, Rauber S, Okada H, Wimberley C, Strippel C, Golombeck KS, Johnen A, Kovac S, Gross CC, Backhaus P, Seifert R, Lewerenz J, Surges R, Elger CE, Wiendl H, Ruck T, Becker AJ, Faber C, Jacobs AH, Bauer J, Meuth SG, Schafers M, Melzer N. Translational imaging of TSPO reveals pronounced innate inflammation in human and murine CD8 T cell-mediated limbic encephalitis. Sci Adv 2023;9: eabq7595. Abstract
    Jorch SK, McNally A, Berger P, Wolf J, Kaiser K, Chetrusca Covash A, Robeck S, Pastau I, Fehler O, Jauch-Speer S-L, Hermann S, Schäfers M, Van Gorp H, Kanneganti A, Dehoorne J, Haerynck F, Penco F, Gattorno M, Chae JJ, Kubes P, Lamkanfi M, Wullaert A, Sperandio M, Vogl T, Roth J, Austermann J. Complex regulation of alarmins S100A8/A9 and secretion via Gasdermin-D pores exacerbates autoinflammation in Familial Mediterranean Fever. J Allergy Clin Immunol 2023Abstract
    Konken CP, Beutel B, Schinor B, Song J, Gerwien H, Korpos E, Burmeister M, Riemann B, Schafers M, Sorokin L, Haufe G. Influence of N-arylsulfonamido d-valine N-substituents on the selectivity and potency of matrix metalloproteinase inhibitors. Bioorg Med Chem 2023;90: 117350. Abstract
    Ludwig N, Thörner-van Almsick J, Mersmann S, Bardel B, Niemann S, Chasan AI, Schäfers M, Margraf A, Rossaint J, Kahl BC, Zarbock A, Block H. Nuclease activity and protein A release of Staphylococcus aureus clinical isolates determine the virulence in a murine model of acute lung infection. Front. Immunol. 2023;14Abstract
    Noto B, Eveslage M, Auf der Springe K, Exler A, Faldum A, Heindel W, Milachowski S, Roll W, Schafers M, Stegger L, Bauer J. Robustness of apparent diffusion coefficient-based lymph node classification for diagnosis of prostate cancer metastasis. Eur Radiol 2023Abstract
    Paul Konken C, Beutel B, Schinor B, Song J, Gerwien H, Korpos E, Burmeister M, Riemann B, Schafers M, Sorokin L, Haufe G. Influence of N-arylsulfonamido d-valine N-substituents on the selectivity and potency of matrix metalloproteinase inhibitors. Bioorg Med Chem 2023;90: 117350. Abstract
    Rassek P, Schafers M, Rahbar K, Backhaus P. [18F]-PSMA-1007-PET for evaluation of kidney function. Nuklearmedizin 2023;62: 244-251. Abstract
    Roll W, Faust A, Hermann S, Schäfers M. Infection Imaging: Focus on New Tracers?. J Nucl Med 2023;64: 59s-67s. Abstract
    Roll W, Müther M, Boning G, Delker A, Warneke N, Gildehaus F-J, Schäfers M, Stummer W, Zeidler R, Reulen H-J, Stegger L. First clinical experience with fractionated intracavitary radioimmunotherapy using [(177)Lu]Lu-6A10-Fab fragments in patients with glioblastoma: a pilot study. EJNMMI Res 2023;13: 78. Abstract
    Seifert R, Rasul S, Seitzer K, Eveslage M, Rahbar Nikoukar L, Kessel K, Schafers M, Yu J, Haug AR, Hacker M, Bogemann M, Bodei L, Morris MJ, Hofman MS, Rahbar K. A Prognostic Risk Score for Prostate Cancer Based on PSMA PET-derived Organ-specific Tumor Volumes. Radiology 2023: 222010. Abstract
    Ventura D, Schindler P, Masthoff M, Gorlich D, Dittmann M, Heindel W, Schäfers M, Lenz G, Wardelmann E, Mohr M, Kies P, Bleckmann A, Roll W, Evers G. Radiomics of Tumor Heterogeneity in (18)F-FDG-PET-CT for Predicting Response to Immune Checkpoint Inhibition in Therapy-Naive Patients with Advanced Non-Small-Cell Lung Cancer. Cancers (Basel) 2023;15Abstract
    Weber WA, Barthel H, Bengel F, Eiber M, Herrmann K, Schafers M. What Is Theranostics?. J Nucl Med 2023;64: 669-670. Abstract

    2022

    Backhaus P, Burg MC, Asmus I, Pixberg M, Büther F, Breyholz H-J, Yeh R, Weigel SB, Stichling P, Heindel W, Bobe S, Barth P, Tio J, Schäfers M. Initial Results of FAPI-PET/MRI to Assess Response to Neoadjuvant Chemotherapy in Breast Cancer. J Nucl Med 2022Abstract
    Backhaus P, Burg MC, Roll W, Büther F, Breyholz H-J, Weigel S, Heindel W, Pixberg M, Barth P, Tio J, Schäfers M. Simultaneous FAPI PET/MRI Targeting the Fibroblast-Activation Protein for Breast Cancer. Radiology 2022;302: 39-47. Abstract
    Backhaus P, Gierse F, Burg MC, Büther F, Asmus I, Dorten P, Cufe J, Roll W, Neri D, Cazzamalli S, Millul J, Mock J, Galbiati A, Zana A, Schäfers KP, Hermann S, Weckesser M, Tio J, Wagner S, Breyholz H-J, Schäfers M. Translational imaging of the fibroblast activation protein (FAP) using the new ligand [(68)Ga]Ga-OncoFAP-DOTAGA. Eur J Nucl Med Mol Imaging 2022;49: 1822-1832. Abstract
    Barca C, Griessinger CM, Faust A, Depke D, Essler M, Windhorst AD, Devoogdt N, Brindle KM, Schäfers M, Zinnhardt B, Jacobs AH. Expanding Theranostic Radiopharmaceuticals for Tumor Diagnosis and Therapy. Pharmaceuticals 2022;15: 13.
    Barca C, Kiliaan AJ, Foray C, Wachsmuth L, Hermann S, Faber C, Schafers M, Wiesmann M, Jacobs AH, Zinnhardt B. A Longitudinal PET/MRI Study of Colony-Stimulating Factor 1 Receptor-Mediated Microglia Depletion in Experimental Stroke. J Nucl Med 2022;63: 446-452. Abstract
    Barca C, Kiliaan AJ, Wachsmuth L, Foray C, Hermann S, Faber C, Schafers M, Wiesmann M, Zinnhardt B, Jacobs AH. Short-Term Colony-Stimulating Factor 1 Receptor Inhibition-Induced Repopulation After Stroke Assessed by Longitudinal (18)F-DPA-714 PET Imaging. J Nucl Med 2022;63: 1408-1414. Abstract
    Berdel AF, Ruhnke L, Angenendt L, Wermke M, Rollig C, Mikesch J-H, Scheller A, Hemmerle T, Matasci M, Wethmar K, Kessler T, Gerwing M, Hescheler D, Schafers M, Hartmann W, Altvater B, Rossig C, Bornhauser M, Lenz G, Stelljes M, Rueter B, Neri D, Berdel WE, Schliemann C. Using stroma-anchoring cytokines to augment ADCC: a phase 1 trial of F16IL2 and BI 836858 for posttransplant AML relapse. Blood Adv 2022;6: 3684-3696. Abstract
    Bobe S, Beckmann D, Klump DM, Dierkes C, Kirschnick N, Redder E, Bauer N, Schäfers M, Erapaneedi R, Risse B, van de Pavert SA, Kiefer F. Volumetric imaging reveals VEGF-C-dependent formation of hepatic lymph vessels in mice. Front Cell Dev Biol 2022;10: 949896. Abstract
    Follin M Chyzha R Sunga CH Breton D Maalmic J Chaminadea T Delagnes E Schaefers K Weinheimer C Yvon D Sharyy V. High resolution MCP-PMT Readout Using Transmission Lines. Nucl Instrum Method 2022Abstract
    Foray C, Barca C, Winkeler A, Wagner S, Hermann S, Schäfers M, Grauer OM, Zinnhardt B, Jacobs AH. Interrogating Glioma-Associated Microglia and Macrophage Dynamics Under CSF-1R Therapy with Multitracer In Vivo PET/MRI. J Nucl Med 2022;63: 1386-1393. Abstract
    Holzgreve A, Eilsberger F, Einspanner E, Kunz J, Sahin YA, Spreckelmeyer S, Luster M, Lapa C, Schafers M, Klasner B, Dgn Y. [The Youngsters of the German Society of Nuclear Medicine (Young DGN)]. Nuklearmedizin 2022;61: 290-292. Abstract
    Honold L, Austrup M, Faust A, Konken CP, Schwegmann K, Zinnhardt B, Daniliuc CG, Haufe G, Schäfers M, Kopka K, Hermann S. Towards Optimized Bioavailability of (99m)Tc-Labeled Barbiturates for Non-invasive Imaging of Matrix Metalloproteinase Activity. Mol Imaging Biol 2022;24: 434-443. Abstract
    Konken CP, Hessling K, Thale I, Schelhaas S, Dabel J, Maskri S, Bulk E, Budde T, Koch O, Schwab A, Schafers M, Wunsch B. Imaging of the calcium activated potassium channel 31 (KCa 31) in vivo using a senicapoc-derived positron emission tomography tracer. Arch Pharm (Weinheim) 2022: e2200388. Abstract
    Noto B, Asmus I, Schafers M, Goerlich D, Riemann B. Predictors of anxiety and depression in differentiated thyroid cancer survivors: Results of a cross-sectional Study. Thyroid 2022Abstract
    Noto B, Roll W, Zinken L, Rischen R, Kerschke L, Evers G, Heindel W, Schäfers M, Büther F. Respiratory motion correction in F-18-FDG PET/CT impacts lymph node assessment in lung cancer patients. EJNMMI Res 2022;12: 61. Abstract
    Rösner L, Konken CP, Depke DA, Rentmeister A, Schäfers M. Covalent labeling of immune cells. Curr Opin Chem Biol 2022;68: 102144. Abstract
    Seifert R, Kersting D, Rischpler C, Sandach P, Ferdinandus J, Fendler WP, Rahbar K, Weckesser M, Umutlu L, Hanoun C, Huttmann A, Reinhardt HC, von Tresckow B, Herrmann K, Duhrsen U, Schafers M. Interim FDG-PET analysis to identify patients with aggressive non-Hodgkin lymphoma who benefit from treatment intensification: a post-hoc analysis of the PETAL trial. Leukemia 2022Abstract
    Thomas K, Zondler L, Ludwig N, Kardell M, Lüneburg C, Henke K, Mersmann S, Margraf A, Spieker T, Tekath T, Velic A, Holtmeier R, Hermann J, Jankowski V, Meersch M, Vestweber D, Westphal M, Roth J, Schäfers MA, Kellum JA, Lowell CA, Rossaint J, Zarbock A. Glutamine prevents acute kidney injury by modulating oxidative stress and apoptosis in tubular epithelial cells. JCI Insight 2022;7Abstract
    Zana A, Galbiati A, Gilardoni E, Bocci M, Millul J, Sturm T, Stucchi R, Elsayed A, Nadal L, Cirillo M, Roll W, Stegger L, Asmus I, Backhaus P, Schäfers M, Neri D, Cazzamalli S. Fibroblast Activation Protein triggers release of drug payload from non-internalizing small molecule-drug conjugates in solid tumors. Clin Cancer Res 2022Abstract

    2021

    Axer A, Jumde RP, Adam S, Faust A, Schäfers M, Fobker M, Koehnke J, Hirsch AKH, Gilmour R. Enhancing glycan stability via site-selective fluorination: modulating substrate orientation by molecular design. Chem. Sci. 2021;12: 1286-1294. Abstract
    Barca C, Foray C, Hermann S, Herrlinger U, Remory I, Laoui D, Schäfers M, Grauer OM, Zinnhardt B, Jacobs AH. The Colony Stimulating Factor-1 Receptor (CSF-1R)-Mediated Regulation of Microglia/Macrophages as a Target for Neurological Disorders (Glioma, Stroke). Front Immunol 2021;12: 787307. Abstract
    Barca C, Kiliaan AJ, Foray C, Wachsmuth L, Hermann S, Faber C, Schaefers M, Wiesmann M, Jacobs AH, Zinnhardt B. A longitudinal PET/MR imaging study of colony stimulating factor-1 receptor-mediated microglia depletion in experimental stroke. J Nucl Med 2021Abstract
    Barca C, Wiesmann M, Calahorra J, Wachsmuth L, Döring C, Foray C, Heiradi A, Hermann S, Peinado MÁ, Siles E, Faber C, Schäfers M, Kiliaan AJ, Jacobs AH, Zinnhardt B. Impact of hydroxytyrosol on stroke: tracking therapy response on neuroinflammation and cerebrovascular parameters using PET-MR imaging and on functional outcomes. Theranostics 2021;11: 4030-4049. Abstract
    Bautz J, Stypmann J, Reiermann S, Pavenstadt H-J, Suwelack B, Stegger L, Rahbar K, Reuter S, Schafers M. Prognostic implication of myocardial perfusion and contractile reserve in end-stage renal disease: A direct comparison of myocardial perfusion scintigraphy and dobutamine stress echocardiography. J Nucl Cardiol 2021Abstract
    Brömmel K, Konken CP, Börgel F, Obeng-Darko H, Schelhaas S, Bulk E, Budde T, Schwab A, Schäfers M, Wünsch B. Synthesis and biological evaluation of PET tracers designed for imaging of calcium activated potassium channel 31 (K[sub:Ca]31) channels_in vivo_. RSC Adv. 2021;11: 30295-30304. Abstract
    Depke DA, Konken CP, Rösner L, Hermann S, Schäfers M, Rentmeister A. A novel (18)F-labeled clickable substrate for targeted imaging of SNAP-tag expressing cells by PET in vivo. Chem Commun (Camb) 2021;57: 9850-9853. Abstract
    Foray C, Valtorta S, Barca C, Winkeler A, Roll W, Müther M, Wagner S, Gardner ML, Hermann S, Schäfers M, Grauer OM, Moresco RM, Zinnhardt B, Jacobs AH. Imaging temozolomide-induced changes in the myeloid glioma microenvironment. Theranostics 2021;11: 2020-2033. Abstract
    Heinemann M, Hoffmann C, Hardes J, Guder W, Streitburger A, Gotte M, Welz TL, Jurgens H, Ranft A, Vieth V, Weckesser M, Schafers M, Stegger L, Dirksen U. Pain in survivors of Ewing sarcoma: Prevalence, associated factors and prediction of recurrence. Pediatr Blood Cancer 2021;68: e28801. Abstract
    Karlas A, Masthoff M, Kallmayer M, Helfen A, Bariotakis M, Fasoula NA, Schäfers M, Seidensticker M, Eckstein H-H, Ntziachristos V, Wildgruber M. Multispectral optoacoustic tomography of peripheral arterial disease based on muscle hemoglobin gradients-a pilot clinical study. Ann Transl Med 2021;9: 36. Abstract
    Kirschnick N, Drees D, Redder E, Erapaneedi R, Pereira da Graca A, Schäfers M, Jiang X, Kiefer F. Rapid methods for the evaluation of fluorescent reporters in tissue clearing and the segmentation of large vascular structures. iScience 2021;24: 102650. Abstract
    Roll W, Evers G, Strotmann R, Albring J, Reicherts C, Noto B, Weckesser M, Lenz G, Schäfers M, Stelljes M. 18F-FDG-PET for the assessment of acute intestinal GvHD and prediction of response to immunosuppressive therapy. Transplantation and Cellular Therapy 2021Abstract
    Roll W, Schindler P, Masthoff M, Strotmann R, Albring J, Reicherts C, Weckesser M, Noto B, Stelljes M, Schäfers M, Evers G. (18)F-FDG-PET-MRI for the assessment of acute intestinal graft-versus-host-disease (GvHD). BMC Cancer 2021;21: 1015. Abstract
    Schliemann C, Kessler T, Berdel AF, Hemmerle T, Angenendt L, Altvater B, Rossig C, Mikesch J-H, Lenz G, Schafers M, Neri D, Stelljes M, Berdel WE. Phase I study of F16IL2 antibody-cytokine fusion with very low-dose araC in acute myeloid leukaemia relapse after allogeneic stem cell transplantation. Br J Haematol 2021;192: e148-e151. Abstract
    Seifert R, Schafers MA, Heitplatz B, Kerschke L, Riemann B, Noto B. Minimal extrathyroid extension in papillary micro carcinoma of the thyroid is an independent risk factor for relapse through lymph node and distant metastases. J Nucl Med 2021: epub. Abstract
    Stelljes M, Schafers M. From the inside: GVHD and glucose metabolism. Blood 2021;137: 11-12. Abstract
    Weber M, Kersting D, Umutlu L, Schafers M, Rischpler C, Fendler WP, Buvat I, Herrmann K, Seifert R. Just another "Clever Hans"? Neural networks and FDG PET-CT to predict the outcome of patients with breast cancer. Eur J Nucl Med Mol Imaging 2021: epub. Abstract
    Wenning C, Vrachimis A, Pavenstadt H-J, Reuter S, Schafers M. Coronary artery calcium burden, carotid atherosclerotic plaque burden, and myocardial blood flow in patients with end-stage renal disease: A non-invasive imaging study combining PET/CT and 3D ultrasound. J Nucl Cardiol 2021;28: 2660-2670. Abstract

    2020

    Backhaus P, Büther F, Wachsmuth L, Frohwein L, Buchholz R, Karst U, Schäfers K, Hermann S, Schäfers M, Faber C. Toward precise arterial input functions derived from DCE-MRI through a novel extracorporeal circulation approach in mice. Magn Reson Med 2020;84: 1404-1415. Abstract
    Backhaus P, Roll W, Beuker C, Zinnhardt B, Seifert R, Wenning C, Eisenblätter M, Thomas C, Schmidt-Pogoda A, Strunk D, Wagner S, Faust A, Tüttelmann F, Röpke A, Jacobs AH, Stummer W, Wiendl H, Meuth SG, Schäfers M, Grauer O, Minnerup J. Initial experience with [(18)F]DPA-714 TSPO-PET to image inflammation in primary angiitis of the central nervous system. Eur J Nucl Med Mol Imaging 2020Abstract
    Barca C, Foray C, Hermann S, Döring C, Schäfers M, Jacobs AH, Zinnhardt B. Characterization of the inflammatory post-ischemic tissue by full volumetric analysis of a multimodal imaging dataset. Neuroimage 2020: 117217. Abstract
    Bengel F, Burchert W, Dörr R, Hacker M, Kaufmann P, Rischpler C, Schäfer W, Schäfers M, Silber S, Zimmermann R, Buechel R. Der Unterschied zwischen„Position“ und „Konsensus“ Zur Rolle der Nuklearkardiologie beikardialer Amyloidose. Kardiologe 2020Abstract
    Büther F, Jones J, Seifert R, Stegger L, Schleyer P, Schäfers M. Clinical Evaluation of a Data-Driven Respiratory Gating Algorithm for Whole-Body PET with Continuous Bed Motion. J Nucl Med 2020;61: 1520-1527. Abstract
    Dittmann M, Gonzalez Carvalho JM, Rahbar K, Schäfers M, Claesener M, Riemann B, Seifert R. Incremental diagnostic value of [(18)F]tetrafluoroborate PET-CT compared to [(131)I]iodine scintigraphy in recurrent differentiated thyroid cancer. Eur J Nucl Med Mol Imaging 2020;47: 2639-2646. Abstract
    Foray C, Barca C, Backhaus P, Schelhaas S, Winkeler A, Viel T, Schäfers M, Grauer O, Jacobs AH, Zinnhardt B. Multimodal Molecular Imaging of the Tumour Microenvironment. Adv Exp Med Biol 2020;1225: 71-87. Abstract
    Kimm MA, Haas H, Stölting M, Kuhlmann M, Geyer C, Glasl S, Schäfers M, Ntziachristos V, Wildgruber M, Höltke C. Targeting Endothelin Receptors in a Murine Model of Myocardial Infarction Using a Small Molecular Fluorescent Probe. Mol Pharm 2020;17: 109-117. Abstract
    Müther M, Roll W, Brokinkel B, Zinnhardt B, Sporns PB, Seifert R, Schäfers M, Weckesser M, Stegger L, Stummer W, Rahbar K. Response assessment of somatostatin receptor targeted radioligand therapies for progressive intracranial meningioma. Nuklearmedizin 2020;59: 348-355. Abstract
    Noto B, Eveslage M, Pixberg M, Gonzalez Carvalho JM, Schäfers M, Riemann B, Kies P. Prevalence of hyperfunctioning thyroid nodules among those in need of fine needle aspiration cytology according to ATA 2015, EU-TIRADS, and ACR-TIRADS. Eur J Nucl Med Mol Imaging 2020;47: 1518-1526. Abstract
    Pösse S, Büther F, Mannweiler D, Hong I, Jones J, Schäfers M, Schäfers KP. Comparison of two elastic motion correction approaches for whole-body PET/CT: motion deblurring vs gate-to-gate motion correction. EJNMMI Phys 2020;7Abstract
    Rahbar K, Afshar-Oromieh A, Seifert R, Wagner S, Schäfers M, Bögemann M, Weckesser M. Do fasting or high caloric drinks affect the physiological uptake of fluorine-18 prostate-specific membrane antigen-1007 in liver and bowel?. World J Nucl Med 2020;19: 220-223. Abstract
    Roll W, Müther M, Sporns PB, Zinnhardt B, Molina ES, Seifert R, Schäfers M, Weckesser M, Stegger L, Beule AG, Stummer W, Rahbar K. Somatostatin receptor targeted radioligand therapy in head and neck paraganglioma. World Neurosurg 2020Abstract
    Schleupner MC, Riemann B, Schäfers M, Backhaus P, Vrachimis A. Impact of FDG-PET on therapy management and outcome of differentiated thyroid carcinoma patients with elevated thyroglobulin despite negative iodine scintigraphy. Nuklearmedizin 2020;59: 356-364. Abstract
    Schwegmann K, Hohn M, Hermann S, Schafers M, Riemann B, Haufe G, Wagner S, Breyholz H-J. Optimizing the Biodistribution of Radiofluorinated Barbiturate Tracers for Matrix Metalloproteinase Imaging by Introduction of Fluorescent Dyes as Pharmacokinetic Modulators. Bioconjug Chem 2020Abstract
    Seifert R, Herrmann K, Kleesiek J, Schafers M, Shah V, Xu Z, Chabin G, Grbic S, Spottiswoode B, Rahbar K. Semiautomatically Quantified Tumor Volume Using (68)Ga-PSMA-11 PET as a Biomarker for Survival in Patients with Advanced Prostate Cancer. J Nucl Med 2020;61: 1786-1792. Abstract
    Seifert R, Kessel K, Schlack K, Weber M, Herrmann K, Spanke M, Fendler WP, Hadaschik B, Kleesiek J, Schafers M, Weckesser M, Boegemann M, Rahbar K. PSMA PET total tumor volume predicts outcome of patients with advanced prostate cancer receiving [(177)Lu]Lu-PSMA-617 radioligand therapy in a bicentric analysis. Eur J Nucl Med Mol Imaging 2020Abstract
    Seifert R, Seitzer K, Herrmann K, Kessel K, Schäfers M, Kleesiek J, Weckesser M, Boegemann M, Rahbar K. Analysis of PSMA expression and outcome in patients with advanced Prostate Cancer receiving 177Lu-PSMA-617 Radioligand Therapy. Theranostics 2020;10: 7812-7820. Abstract
    Wenning C, Vrachimis A, Pavenstadt H-J, Reuter S, Schafers M. Coronary artery calcium burden, carotid atherosclerotic plaque burden, and myocardial blood flow in patients with end-stage renal disease: A non-invasive imaging study combining PET/CT and 3D ultrasound. J Nucl Cardiol 2020Abstract
    Zinnhardt B, Müther M, Roll W, Backhaus P, Jeibmann A, Foray C, Barca C, Döring C, Tavitian B, Dolle F, Weckesser M, Winkeler A, Hermann S, Wagner S, Wiendl H, Stummer W, Jacobs AH, Schäfers M, Grauer OM. TSPO imaging-guided characterization of the immunosuppressive myeloid tumor microenvironment in patients with malignant glioma. Neuro Oncol 2020;22: 1030-1043. Abstract

    2019

    Freundt JK, Frommeyer G, Spieker T, Wotzel F, Grotthoff JS, Stypmann J, Hempel G, Schafers M, Jacobs AH, Eckardt L, Lange PS. Histone deacetylase inhibition by Entinostat for the prevention of electrical and structural remodeling in heart failure. BMC Pharmacol Toxicol 2019;20: 16. Abstract
    Kalinin DV, Agoglitta O, Van de Vyver H, Melesina J, Wagner S, Riemann B, Schäfers M, Sippl W, Löffler B, Holl R. Proline-based hydroxamates targeting the zinc-dependent deacetylase LpxC: Synthesis, antibacterial properties, and docking studies. Bioorg Med Chem 2019;27: 1997-2018. Abstract
    Kessel K, Seifert R, Schafers M, Weckesser M, Schlack K, Boegemann M, Rahbar K. Second line chemotherapy and visceral metastases are associated with poor survival in patients with mCRPC receiving (177)Lu-PSMA-617. Theranostics 2019;9: 4841-4848. Abstract
    Köhnke R, Kentrup D, Schütte-Nütgen K, Schäfers M, Schnöckel U, Hoerr V, Reuter S. Update on imaging-based diagnosis of acute renal allograft rejection. Am J Nucl Med Mol Imaging 2019;9: 110-126. Abstract
    Kurch L, Hasenclever D, Kluge R, Georgi T, Tchavdarova L, Golombeck M, Sabri O, Eggert A, Brenner W, Sykora KW, Bengel FM, Rossig C, Korholz D, Schafers M, Feuchtinger T, Bartenstein P, Ammann RA, Krause T, Urban C, Aigner R, Gattenlohner S, Klapper W, Mauz-Korholz C. Only strongly enhanced residual FDG uptake in early response PET (Deauville 5 or qPET >/= 2) is prognostic in pediatric Hodgkin lymphoma: Results of the GPOH-HD2002 trial. Pediatr Blood Cancer 2019;66: e27539. Abstract
    Roll W, Markwardt NA, Masthoff M, Helfen A, Claussen J, Eisenblätter M, Hasenbach A, Hermann S, Karlas A, Wildgruber M, Ntziachristos V, Schäfers M. Multispectral Optoacoustic Tomography of Benign and Malignant Thyroid Disorders: A Pilot Study. J Nucl Med 2019;60: 1461-1466. Abstract
    Sibille L, Seifert R, Avramovic N, Vehren T, Spottiswoode B, Zuehlsdorff S, Schafers M. (18)F-FDG PET/CT Uptake Classification in Lymphoma and Lung Cancer by Using Deep Convolutional Neural Networks. Radiology 2019: 191114. Abstract
    Zinnhardt B, Belloy M, Fricke IB, Orije J, Guglielmetti C, Hermann S, Wagner S, Schafers M, Van der Linden A, Jacobs AH. Molecular Imaging of Immune Cell Dynamics During De- and Remyelination in the Cuprizone Model of Multiple Sclerosis by [(18)F]DPA-714 PET and MRI. Theranostics 2019;9: 1523-1537. Abstract

    2018

    Ahmadzadehfar H, Albers P, Bockisch A, Boegemann M, Bohme C, Burchert W, Dietlein M, Drzezga A, Fabry U, Feldmann G, Heidenreich A, Heinzel A, Herrmann K, Heyll A, Hohling C, Kreuzer C, Laufer D, Mengel R, Mottaghy FM, Muller H-W, Muller SC, Ost E, Rahbar K, Reifenhauser W, Schafers M, Schlenkhoff C, Schmidt M, Schmidt-Wolf I, Wildenhain C, Zimmer B, Essler M. [Lutetium-177-PSMA radioligand therapy : Consensus within the framework of GKV-funded care between the university hospitals in Aachen, Bonn, Dusseldorf, Essen, and Cologne and the MDK Nordrhein]. Urologe A 2018;57: 709-713. Abstract
    Axer A, Hermann S, Kehr G, Clases D, Karst U, Fischer-Riepe L, Roth J, Fobker M, Schäfers M, Gilmour R, Faust A. Harnessing the Maltodextrin Transport Mechanism for Targeted Bacterial Imaging: Structural Requirements for Improved in vivo Stability in Tracer Design. ChemMedChem 2018;13: 241-250. Abstract
    Backhaus P, Noto B, Avramovic N, Grubert LS, Huss S, Bögemann M, Stegger L, Weckesser M, Schäfers M, Rahbar K. Targeting PSMA by radioligands in non-prostate disease-current status and future perspectives. Eur J Nucl Med Mol Imaging 2018;45: 860-877. Abstract
    Becker A, Masthoff M, Claussen J, Ford SJ, Roll W, Burg M, Barth PJ, Heindel W, Schäfers M, Eisenblätter M, Wildgruber M. Multispectral optoacoustic tomography of the human breast: characterisation of healthy tissue and malignant lesions using a hybrid ultrasound-optoacoustic approach. Eur Radiol 2018;28: 602-609. Abstract
    Butsch V, Borgel F, Galla F, Schwegmann K, Hermann S, Schafers M, Riemann B, Wunsch B, Wagner S. Design, (Radio)Synthesis, and in Vitro and in Vivo Evaluation of Highly Selective and Potent Matrix Metalloproteinase 12 (MMP-12) Inhibitors as Radiotracers for Positron Emission Tomography. J Med Chem 2018;61: 4115-4134. Abstract
    Duffy MJ, Planas O, Faust A, Vogl T, Hermann S, Schäfers M, Nonell S, Strassert CA. Towards optimized naphthalocyanines as sonochromes for photoacoustic imaging in vivo. Photoacoustics 2018;9: 49-61. Abstract
    Gran S, Honold L, Fehler O, Zenker S, Eligehausen S, Kuhlmann MT, Geven E, den Bosch M van, van Lent P, Spiekermann C, Hermann S, Vogl T, Schäfers M, Roth J. Imaging, myeloid precursor immortalization, and genome editing for defining mechanisms of leukocyte recruitment_in vivo_. Theranostics 2018;8: 2407-2423. Abstract
    Heinemann M, Ranft A, Langer T, Jurgens H, Kreyer J, Vieth V, Schafers M, Weckesser M, Simon T, Hassenpflug W, Corbacioglu S, Bielack S, Mayer-Steinacker R, Kuhne T, van den Berg H, Gelderblom H, Bauer S, Stegger L, Dirksen U. Recurrence of Ewing sarcoma: Is detection by imaging follow-up protocol associated with survival advantage?. Pediatr Blood Cancer 2018;65: e27011. Abstract
    Heming M, Gran S, Jauch S-L, Fischer-Riepe L, Russo A, Klotz L, Hermann S, Schäfers M, Roth J, Barczyk-Kahlert K. Peroxisome Proliferator-Activated Receptor-γ Modulates the Response of Macrophages to Lipopolysaccharide and Glucocorticoids. Front Immunol 2018;9: 893. Abstract
    Hohn M, Chang M, Meisel JE, Frost E, Schwegmann K, Hermann S, Schäfers M, Riemann B, Haufe G, Breyholz HJ, Wagner S. Synthesis and preliminary in vitro and in vivo evaluation of thiirane-based slow binding MMP inhibitors as potential radiotracers for PET imaging. Chemistry Select 2018;3: 11729-11736. Abstract
    Hugenberg V, Behrends M, Wagner S, Hermann S, Schafers M, Kolb HC, Szardenings K, Walsh JC, Gomez LF, Kopka K, Haufe G. Synthesis, radiosynthesis, in vitro and first in vivo evaluation of a new matrix metalloproteinase inhibitor based on gamma-fluorinated alpha-sulfonylaminohydroxamic acid. EJNMMI Radiopharm Chem 2018;3: 10. Abstract
    Konken CP, Haufe G, Brömmel K, Wünsch B, Schäfers M, Wagner S, Hugenberg V. Development of symmetric O-BODIPYs with different optical properties as building blocks for the synthesis of ligands for multimodal imaging. Dyes Pigment. 2018;158: 88-96. Abstract
    Kurth J, Krause BJ, Schwarzenbock SM, Stegger L, Schafers M, Rahbar K. External radiation exposure, excretion, and effective half-life in (177)Lu-PSMA-targeted therapies. EJNMMI Res 2018;8: 32. Abstract
    Lindner O, Bauersachs J, Bengel FM, Burchert W, Vom Dahl J, Dorr R, Hacker M, Kelm M, Rassaf T, Rischpler C, Schafer W, Schafers MA, Silber S, Zimmermann R. [Policy paper nuclear cardiology - update 2018 - Current status of clinical practice]. Nuklearmedizin 2018;57: 146-152. Abstract
    Masthoff M, Helfen A, Claussen J, Roll W, Karlas A, Becker H, Gabriëls G, Riess J, Heindel W, Schäfers M, Ntziachristos V, Eisenblätter M, Gerth U, Wildgruber M. Multispectral optoacoustic tomography of systemic sclerosis. J Biophotonics 2018: e201800155. Abstract
    Nensa F, Bamberg F, Rischpler C, Menezes L, Poeppel TD, la Fougere C, Beitzke D, Rasul S, Loewe C, Nikolaou K, Bucerius J, Kjaer A, Gutberlet M, Prakken NH, Vliegenthart R, Slart RHJA, Nekolla SG, Lassen ML, Pichler BJ, Schlosser T, Jacquier A, Quick HH, Schafers M, Hacker M. Hybrid cardiac imaging using PET/MRI: a joint position statement by the European Society of Cardiovascular Radiology (ESCR) and the European Association of Nuclear Medicine (EANM). Eur Radiol 2018;28: 4086-4101. Abstract
    Oertel M, Scobioala S, Kroeger K, Baehr A, Stegger L, Haverkamp U, Schafers M, Eich H-T. Worth a local treatment? - Analysis of modern radiotherapy concepts for oligometastatic prostate cancer. Radiat Oncol 2018;13: 185. Abstract
    Rahbar K, Afshar-Oromieh A, Bogemann M, Wagner S, Schafers M, Stegger L, Weckesser M. (18)F-PSMA-1007 PET/CT at 60 and 120 minutes in patients with prostate cancer: biodistribution, tumour detection and activity kinetics. Eur J Nucl Med Mol Imaging 2018;45: 1329-1334. Abstract
    Rahbar K, Afshar-Oromieh A, Seifert R, Wagner S, Schafers M, Bogemann M, Weckesser M. Diagnostic performance of (18)F-PSMA-1007 PET/CT in patients with biochemical recurrent prostate cancer. Eur J Nucl Med Mol Imaging 2018;45: 2055-2061. Abstract
    Rahbar K, Boegemann M, Yordanova A, Eveslage M, Schäfers M, Essler M, Ahmadzadehfar H. PSMA targeted radioligandtherapy in metastatic castration resistant prostate cancer after chemotherapy, abiraterone and/or enzalutamide A retrospective analysis of overall survival. Eur J Nucl Med Mol Imaging 2018;45: 12-19. Abstract
    Rahbar K, Bogeman M, Yordanova A, Eveslage M, Schafers M, Essler M, Ahmadzadehfar H. Delayed response after repeated (177)Lu-PSMA-617 radioligand therapy in patients with metastatic castration resistant prostate cancer. Eur J Nucl Med Mol Imaging 2018;45: 243-246. Abstract
    Rahbar K, Weckesser M, Ahmadzadehfar H, Schäfers M, Stegger L, Bogemann M. Advantage of 18F-PSMA-1007 over 68Ga-PSMA-11 PET imaging for differentiation of local recurrence vs urinary tracer excretion. Eur J Nucl Med Mol Imaging 2018;45: 1076-1077. Abstract
    Roll W, Riemann B, Schäfers M, Stegger L, Vrachimis A. 177Lu-DOTATATE Therapy in Radioiodine-refractory Differentiated Thyroid Cancer: A Single Center Experience. Clin Nucl Med 2018;43: e346-e351. Abstract
    Roll W, Weckesser M, Poppelmann M, Schiborr M, Schäfers M, Rahbar K. 99mTc-MDP SPECT-CT and Ultrasound in the Diagnosis and Staging of Thyroid Metastasis From Osteosarcoma. Clin Nucl Med 2018;43: e109-e110. Abstract
    Seifert R, Kuhlmann MT, Eligehausen S, Kiefer F, Hermann S, Schafers M. Molecular imaging of MMP activity discriminates unstable from stable plaque phenotypes in shear-stress induced murine atherosclerosis. PLoS One 2018;13: e0204305. Abstract
    Vigne J, Thackeray J, Essers J, Makowski M, Varasteh Z, Curaj A, Karlas A, Canet-Soulas E, Mulder W, Kiessling F, Schäfers M, Botnar R, Wildgruber M, Hyafil F. Current and Emerging Preclinical Approaches for Imaging-Based Characterization of Atherosclerosis. Mol Imaging Biol 2018;20: 869-887. Abstract
    Vogl T, Stratis A, Wixler V, Völler T, Thurainayagam S, Jorch SK, Zenker S, Dreiling A, Chakraborty D, Fröhling M, Paruzel P, Wehmeyer C, Hermann S, Papantonopoulou O, Geyer C, Loser K, Schäfers M, Ludwig S, Stoll M, Leanderson T, Schultze JL, König S, Pap T, Roth J. Autoinhibitory regulation of S100A8/S100A9 alarmin activity locally restricts sterile inflammation. J Clin Invest 2018;128: 1852-1866. Abstract
    Völler T, Faust A, Roth J, Schäfers M, Vogl T, Hermann S. A Non-Peptidic S100A9 Specific Ligand for Optical Imaging of Phagocyte Activity In Vivo. Mol Imaging Biol 2018;20: 407-416. Abstract
    Zinnhardt B, Wiesmann M, Honold L, Barca C, Schäfers M, Kiliaan A, Jacobs AH. In vivo imaging biomarkers of neuroinflammation in the development and assessment of stroke therapies - towards clinical translation. Theranostics 2018;8: 2603-2620. Abstract
    Zumhagen S, Vrachimis A, Stegger L, Kies P, Wenning C, Ernsting M, Muller J, Seebohm G, Paul M, Schafers K, Stallmeyer B, Schafers M, Schulze-Bahr E. Impact of presynaptic sympathetic imbalance in long-QT syndrome by positron emission tomography. Heart 2018;104: 332-339. Abstract

    2017

    Abdurrachim D, Nabben M, Hoerr V, Kuhlmann MT, Bovenkamp P, Ciapaite J, Geraets IME, Coumans W, Luiken JJFP, Glatz JFC, Schafers M, Nicolay K, Faber C, Hermann S, Prompers JJ. Diabetic db/db mice do not develop heart failure upon pressure overload: a longitudinal in vivo PET, MRI, and MRS study on cardiac metabolic, structural, and functional adaptations. Cardiovasc Res 2017;113: 1148-1160. Abstract
    Brauer A, Grubert LS, Roll W, Schrader AJ, Schäfers M, Bögemann M, Rahbar K. 177Lu-PSMA-617 radioligand therapy and outcome in patients with metastasized castration-resistant prostate cancer. Eur J Nucl Med Mol Imaging 2017;44: 1663-1670. Abstract
    Breyholz H-J, Kopka K, Schafers M, Wagner S. Syntheses of Radioiodinated Pyrimidine-2,4,6-Triones as Potential Agents for Non-Invasive Imaging of Matrix Metalloproteinases. Pharmaceuticals (Basel) 2017;10Abstract
    Hägerling R, Drees D, Scherzinger A, Dierkes C, Martin-Almedina S, Butz S, Gordon K, Schäfers M, Hinrichs K, Ostergaard P, Vestweber D, Goerge T, Mansour S, Jiang X, Mortimer PS, Kiefer F. VIPAR, a quantitative approach to 3D histopathology applied to lymphatic malformations. JCI Insight 2017;2: e93424. Abstract
    Hansen T, Weckesser M, Schafers M, Gunnemann A. [Uncommon manifestation of prostate cancer : Sister Mary Joseph's nodule]. Urologe A 2017;56: 50-53. Abstract
    Hugenberg V, Wagner S, Kopka K, Schafers M, Schuit RC, Windhorst AD, Hermann S. Radiolabeled Selective Matrix Metalloproteinase 13 (MMP-13) Inhibitors: (Radio)Syntheses and in Vitro and First in Vivo Evaluation. J Med Chem 2017;60: 307-321. Abstract
    Laukamp KR, Lindemann F, Weckesser M, Hesselmann V, Ligges S, Wölfer J, Jeibmann A, Zinnhardt B, Viel T, Schäfers M, Paulus W, Stummer W, Schober O, Jacobs AH. Multimodal Imaging of Patients With Gliomas Confirms[super:11]C-MET PET as a Complementary Marker to MRI for Noninvasive Tumor Grading and Intraindividual Follow-Up After Therapy. Molecular Imaging 2017;16: 153601211668765. Abstract
    Mucke MM, Bettenworth D, Geyer C, Schwegmann K, Poremba C, Schäfers M, Domagk D, Höltke C, Lenz P. Targeting Mucosal Endothelin-A-Receptor Expression by Fluorescence Endoscopy is Feasible to Detect and Characterize Colitis-Associated Cancer in Mice. Inflamm Bowel Dis 2017;24: 111-122. Abstract
    Noto B, Büther F, Auf der Springe K, Avramovic N, Heindel W, Schäfers M, Allkemper T, Stegger L. Impact of PET acquisition durations on image quality and lesion detectability in whole-body 68Ga-PSMA PET-MRI. EJNMMI Res 2017;7: 12. Abstract
    Ortmeyer CP, Haufe G, Schäfers M, Wagner S, Schwegmann K, Hermann S, Hugenberg V. Development of 18F-fluorinated BODIPYs for multimodal imaging. J Label Compd Radiopharm 2017;60: 273. Abstract
    Ortmeyer CP, Haufe G, Schwegmann K, Hermann S, Schafers M, Borgel F, Wunsch B, Wagner S, Hugenberg V. Synthesis and evaluation of a [18F]BODIPY-labeled caspase-inhibitor. Bioorg Med Chem 2017;25: 2167-2176. Abstract
    Rahbar K, Ahmadzadehfar H, Kratochwil C, Haberkorn U, Schafers M, Essler M, Baum RP, Kulkarni HR, Schmidt M, Drzezga A, Bartenstein P, Pfestroff A, Luster M, Lutzen U, Marx M, Prasad V, Brenner W, Heinzel A, Mottaghy FM, Ruf J, Meyer PT, Heuschkel M, Eveslage M, Bogemann M, Fendler WP, Krause BJ. German Multicenter Study Investigating 177Lu-PSMA-617 Radioligand Therapy in Advanced Prostate Cancer Patients. J Nucl Med 2017;58: 85-90. Abstract
    Schulze AB, Heptner B, Kessler T, Baumgarten B, Stoica V, Mohr M, Wiewrodt R, Warneke V, Hartmann W, Wullenweber J, Schulke C, Schafers M, Wilmes D, Becker K, Schmidt LH, Groll AH, Berdel WE. Progressive Histoplasmosis with Hemophagocytic Lymphohistiocytosis and Epithelioid Cell Granulomatosis: A Case Report and Review of the Literature. Eur J Haematol 2017Abstract
    Seifert R, Scherzinger A, Kiefer F, Hermann S, Jiang X, Schafers MA. Statistical Permutation-based Artery Mapping (SPAM): a novel approach to evaluate imaging signals in the vessel wall. BMC Med Imaging 2017;17: 36. Abstract
    Sundermann B, Schroder J-B, Warnecke T, Heindel W, Schafers M, Weckesser M, Buerke B. Imaging Workup of Suspected Classical Paraneoplastic Neurological Syndromes: A Systematic Review and Retrospective Analysis of (18)F-FDG-PET-CT. Acad Radiol 2017;24: 1195-1202. Abstract
    Thunemann M, Schörg BF, Feil S, Lin Y, Voelkl J, Golla M, Vachaviolos A, Kohlhofer U, Quintanilla-Martinez L, Olbrich M, Ehrlichmann W, Reischl G, Griessinger CM, Langer HF, Gawaz M, Lang F, Schäfers M, Kneilling M, Pichler BJ, Feil R. Cre/lox-assisted non-invasive in vivo tracking of specific cell populations by positron emission tomography. Nat Commun 2017;8: 444. Abstract
    Zinnhardt B, Pigeon H, Theze B, Viel T, Wachsmuth L, Fricke IB, Schelhaas S, Honold L, Schwegmann K, Wagner S, Faust A, Faber C, Kuhlmann MT, Hermann S, Schäfers M, Winkeler A, Jacobs AH. Combined PET Imaging of the Inflammatory Tumor Microenvironment Identifies Margins of Unique Radiotracer Uptake. Cancer Res 2017;77: 1831-1841. Abstract

    2016

    Ahmadzadehfar H, Essler M, Schafers M, Rahbar K. Radioligand therapy with 177Lu-PSMA-617 of metastatic prostate cancer has already been arrived in clinical use. Nucl Med Biol 2016;43: 835. Abstract
    Angenendt L, Schliemann C, Lutz M, Rebber E, Schulze AB, Weckesser M, Stegger L, Schafers M, Groth C, Kessler T, Lenz G, Stelljes M, Berdel WE. Nivolumab in a patient with refractory Hodgkin's lymphoma after allogeneic stem cell transplantation. Bone Marrow Transplant 2016;51: 443-445. Abstract
    Bailey DL, Pichler BJ, Guckel B, Barthel H, Beer AJ, Botnar R, Gillies R, Goh V, Gotthardt M, Hicks RJ, Lanzenberger R, la Fougere C, Lentschig M, Nekolla SG, Niederdraenk T, Nikolaou K, Nuyts J, Olego D, Riklund KA, Signore A, Schafers M, Sossi V, Suminski M, Veit-Haibach P, Umutlu L, Wissmeyer M, Beyer T. Combined PET/MRI: from Status Quo to Status Go Summary Report of the Fifth International Workshop on PET/MR Imaging; February 15-19, 2016; Tubingen, Germany. Mol Imaging Biol 2016;18: 637-650. Abstract
    Bettenworth D, Mucke MM, Schwegmann K, Faust A, Poremba C, Schafers M, Domagk D, Lenz P. Endoscopy-guided orthotopic implantation of colorectal cancer cells results in metastatic colorectal cancer in mice. Clin Exp Metastasis 2016;33: 551-562. Abstract
    Beutel B, Daniliuc CG, Riemann B, Schafers M, Haufe G. Fluorinated matrix metalloproteinases inhibitors-Phosphonate based potential probes for positron emission tomography. Bioorg Med Chem 2016;24: 902-909. Abstract
    Büther F, Vehren T, Schäfers KP, Schäfers M. Impact of Data-driven Respiratory Gating in Clinical PET. Radiology 2016;281: 229-238. Abstract
    Erapaneedi R, Belousov VV, Schäfers M, Kiefer F. A novel family of fluorescent hypoxia sensors reveal strong heterogeneity in tumor hypoxia at the cellular level. Embo J 2016;35: 102-113. Abstract
    Faust A, Hermann S, Schäfers M, Höltke C. Optical imaging probes and their potential contribution to radiotracer development. Nuklearmedizin 2016;55: 51-62. Abstract
    Galstyan A, Block D, Niemann S, Grüner MC, Abbruzzetti S, Oneto M, Daniliuc CG, Hermann S, Viappiani C, Schäfers M, Löffler B, Strassert CA, Faust A. Labeling and Selective Inactivation of Gram-Positive Bacteria Employing Bimodal Photoprobes with Dual Readouts. Chemistry 2016;22: 5243-5252. Abstract
    Galstyan A, Block D, Niemann S, Grüner MC, Abbruzzetti S, Oneto M, Daniliuc CG, Hermann S, Viappiani C, Schäfers M, Löffler B, Strassert CA, Faust A. Corrigendum: Labeling and Selective Inactivation of Gram-Positive Bacteria Employing Bimodal Photoprobes with Dual Readouts. Chemistry 2016;22: 9051. Abstract
    Galstyan A, Riehemann K, Schäfers M, Faust A. A combined experimental and computational study of the substituent effect on the photodynamic efficacy of amphiphilic Zn(ii)phthalocyanines. J. Mater. Chem. B 2016;4: 5683-5691. Abstract
    Gerwien H, Hermann S, Zhang X, Korpos E, Song J, Kopka K, Faust A, Wenning C, Gross CC, Honold L, Melzer N, Opdenakker G, Wiendl H, Schäfers M, Sorokin L. Imaging matrix metalloproteinase activity in multiple sclerosis as a specific marker of leukocyte penetration of the blood-brain barrier. Sci Transl Med 2016;8: 364ra152. Abstract
    Geven EJW, van den Bosch MHJ, Di Ceglie I, Ascone G, Abdollahi-Roodsaz S, Sloetjes AW, Hermann S, Schafers M, van de Loo FAJ, van der Kraan PM, Koenders MI, Foell D, Roth J, Vogl T, van Lent PLEM. S100A8/A9, a potent serum and molecular imaging biomarker for synovial inflammation and joint destruction in seronegative experimental arthritis. Arthritis Res Ther 2016;18: 247. Abstract
    Hermann S, Kuhlmann MT, Starsichova A, Eligehausen S, Schafers K, Stypmann J, Tiemann K, Levkau B, Schafers M. Imaging Reveals the Connection Between Spontaneous Coronary Plaque Ruptures, Atherothrombosis, and Myocardial Infarctions in HypoE/SRBI-/- Mice. J Nucl Med 2016;57: 1420-1427. Abstract
    Hugenberg V, Hermann S, Galla F, Schafers M, Wunsch B, Kolb HC, Szardenings K, Lebedev A, Walsh JC, Mocharla VP, Gangadharmath UB, Kopka K, Wagner S. Radiolabeled hydroxamate-based matrix metalloproteinase inhibitors: How chemical modifications affect pharmacokinetics and metabolic stability. Nucl Med Biol 2016;43: 424-437. Abstract
    Kalinin DV, Wagner S, Riemann B, Hermann S, Schmidt F, Becker-Pauly C, Rose-John S, Schafers M, Holl R. Novel Potent Proline-Based Metalloproteinase Inhibitors: Design, (Radio)Synthesis, and First in Vivo Evaluation as Radiotracers for Positron Emission Tomography. J Med Chem 2016;59: 9541-9559. Abstract
    Keul P, van Borren MMGJ, Ghanem A, Muller FU, Baartscheer A, Verkerk AO, Stumpel F, Schulte JS, Hamdani N, Linke WA, van Loenen P, Matus M, Schmitz W, Stypmann J, Tiemann K, Ravesloot J-H, Alewijnse AE, Hermann S, Spijkers LJA, Hiller K-H, Herr D, Heusch G, Schafers M, Peters SLM, Chun J, Levkau B. Sphingosine-1-Phosphate Receptor 1 Regulates Cardiac Function by Modulating Ca2+ Sensitivity and Na+/H+ Exchange and Mediates Protection by Ischemic Preconditioning. J Am Heart Assoc 2016;5: e003393. Abstract
    Noto B, Vrachimis A, Schafers M, Stegger L, Rahbar K. Subacute Stroke Mimicking Cerebral Metastasis in 68Ga-PSMA-HBED-CC PET/CT. Clin Nucl Med 2016;41: e449-51. Abstract
    O'Halloran PJ, Viel T, Murray DW, Wachsmuth L, Schwegmann K, Wagner S, Kopka K, Jarzabek MA, Dicker P, Hermann S, Faber C, Klasen T, Schafers M, O'Brien D, Prehn JHM, Jacobs AH, Byrne AT. Mechanistic interrogation of combination bevacizumab/dual PI3K/mTOR inhibitor response in glioblastoma implementing novel MR and PET imaging biomarkers. Eur J Nucl Med Mol Imaging 2016;43: 1673-1683. Abstract
    Rahbar K, Weckesser M, Huss S, Semjonow A, Breyholz H-J, Schrader AJ, Schafers M, Bogemann M. Correlation of Intraprostatic Tumor Extent with 68Ga-PSMA Distribution in Patients with Prostate Cancer. J Nucl Med 2016;57: 563-567. Abstract
    Range FT, Kies P, Schafers KP, Breithardt G, Schober O, Wichter T, Schafers MA. Sex differences in absolute myocardial perfusion Non-invasive H2(15)O-PET in young healthy adults. Nuklearmedizin 2016;55: 196-202. Abstract
    Reinartz G, Haverkamp U, Wullenkord R, Lehrich P, Kriz J, Büther F, Schäfers K, Schäfers M, Eich HT. 4D-Listmode-PET-CT and 4D-CT for optimizing PTV margins in gastric lymphoma : Determination of intra- and interfractional gastric motion. Strahlenther Onkol 2016;192: 322-332. Abstract
    Schwegmann K, Bettenworth D, Hermann S, Faust A, Poremba C, Foell D, Schafers M, Domagk D, Lenz P. Detection of Early Murine Colorectal Cancer by MMP-2/-9-Guided Fluorescence Endoscopy. Inflamm Bowel Dis 2016;22: 82-91. Abstract
    Vahle A-K, Hermann S, Schafers M, Wildner M, Kerem A, Ozturk E, Jure-Kunkel M, Franklin C, Lang S, Brandau S. Multimodal imaging analysis of an orthotopic head and neck cancer mouse model and application of anti-CD137 tumor immune therapy. Head Neck 2016;38: 542-549. Abstract
    Vrachimis A, Burg MC, Wenning C, Allkemper T, Weckesser M, Schafers M, Stegger L. [(18)F]FDG PET/CT outperforms [(18)F]FDG PET/MRI in differentiated thyroid cancer. Eur J Nucl Med Mol Imaging 2016;43: 212-220. Abstract
    Vrachimis A, Honold L, Faust A, Hermann S, Schäfers M. New molecular probes of vascular inflammation. Q J Nucl Med Mol Imaging 2016;60: 194-204. Abstract
    Vrachimis A, Stegger L, Wenning C, Noto B, Burg MC, Konnert JR, Allkemper T, Heindel W, Riemann B, Schafers M, Weckesser M. [(68)Ga]DOTATATE PET/MRI and [(18)F]FDG PET/CT are complementary and superior to diffusion-weighted MR imaging for radioactive-iodine-refractory differentiated thyroid cancer. Eur J Nucl Med Mol Imaging 2016;43: 1765-1772. Abstract
    Vrachimis A, Weckesser M, Schafers M, Stegger L. Imaging of differentiated thyroid carcinoma: (124)I-PET/MRI may not be superior to (124)I-PET/CT. Eur J Nucl Med Mol Imaging 2016;43: 1183-1184. Abstract

    2015

    Ahmadzadehfar H, Rahbar K, Kurpig S, Bogemann M, Claesener M, Eppard E, Gartner F, Rogenhofer S, Schafers M, Essler M. Early side effects and first results of radioligand therapy with (177)Lu-DKFZ-617 PSMA of castrate-resistant metastatic prostate cancer: a two-centre study. EJNMMI Res 2015;5: 114. Abstract
    Angenendt L, Kerkhoff A, Wiebe S, Mikesch J-H, Rudat A, Wotzel F, Wenning C, Schliemann C, Kessler T, Schafers M, Wardelmann E, Stelljes M, Berdel WE. Remissions of different quality following rituximab, tocilizumab and rituximab, and allogeneic stem cell transplantation in a patient with severe idiopathic multicentric Castleman's disease. Ann Hematol 2015;94: 1241-1243. Abstract
    Bailey DL, Pichler BJ, Guckel B, Barthel H, Beer AJ, Bremerich J, Czernin J, Drzezga A, Franzius C, Goh V, Hartenbach M, Iida H, Kjaer A, la Fougere C, Ladefoged CN, Law I, Nikolaou K, Quick HH, Sabri O, Schafer J, Schafers M, Wehrl HF, Beyer T. Combined PET/MRI: Multi-modality Multi-parametric Imaging Is Here: Summary Report of the 4th International Workshop on PET/MR Imaging; February 23-27, 2015, Tubingen, Germany. Mol Imaging Biol 2015;17: 595-608. Abstract
    Behrends M, Wagner S, Kopka K, Schober O, Schafers M, Kumbhar S, Waller M, Haufe G. New matrix metalloproteinase inhibitors based on gamma-fluorinated alpha-aminocarboxylic and alpha-aminohydroxamic acids. Bioorg Med Chem 2015;23: 3809-3818. Abstract
    Faust A, Völler T, Busch F, Schäfers M, Roth J, Hermann S, Vogl T. Development and evaluation of a non-peptidic ligand for the molecular imaging of inflammatory processes using S100A9 (MRP14) as a novel target. Chem Commun (Camb) 2015;51: 15637-15640. Abstract
    Junker A, Kokornaczyk AK, Zweemer AJM, Frehland B, Schepmann D, Yamaguchi J, Itami K, Faust A, Hermann S, Wagner S, Schafers M, Koch M, Weiss C, Heitman LH, Kopka K, Wunsch B. Synthesis, binding affinity and structure-activity relationships of novel, selective and dual targeting CCR2 and CCR5 receptor antagonists. Org Biomol Chem 2015;13: 2407-2422. Abstract
    Limpachayaporn P, Schafers M, Haufe G. Isatin sulfonamides: potent caspases-3 and -7 inhibitors, and promising PET and SPECT radiotracers for apoptosis imaging. Future Med Chem 2015;7: 1173-1196. Abstract
    Maier TM, Schober O, Gerss J, Gorlich D, Wenning C, Schaefers M, Riemann B, Vrachimis A. Differentiated thyroid cancer patients more than 60 years old paradoxically show an increased life expectancy. J Nucl Med 2015;56: 190-195. Abstract
    Reilmann R, Lippross V, Holzner E, Gigengack F, Bohlen S, Kugel H, Deppe M, Osada N, Lucke M, Riess O, Nguyen HP, Von Horsten S, Schafers K, Schafers M, Jacobs AH, Hermann S. FDG muPET Fails to Detect a Disease-Specific Phenotype in Rats Transgenic for Huntington's Disease - A 15 Months Follow-up Study. J Huntingtons Dis 2015;4: 37-47. Abstract
    Santschi N, Wagner S, Daniliuc C, Hermann S, Schafers M, Gilmour R. Synthesis of 2-[(18) F]Fluoro-2-deoxyisosorbide 5-mononitrate and Assessment of Its in vivo Biodistribution as Determined by Dynamic Positron Emission Tomography (PET). ChemMedChem 2015;10: 1724-1732. Abstract
    Schilson SS, Keul P, Shaikh RS, Schafers M, Levkau B, Haufe G. Synthesis of new ligands for targeting the S1P1 receptor. Bioorg Med Chem 2015;23: 1011-1026. Abstract
    Schliemann C, Gutbrodt KL, Kerkhoff A, Pohlen M, Wiebe S, Silling G, Angenendt L, Kessler T, Mesters RM, Giovannoni L, Schafers M, Altvater B, Rossig C, Grunewald I, Wardelmann E, Kohler G, Neri D, Stelljes M, Berdel WE. Targeting interleukin-2 to the bone marrow stroma for therapy of acute myeloid leukemia relapsing after allogeneic hematopoietic stem cell transplantation. Cancer Immunol Res 2015;3: 547-556. Abstract
    Shaikh RS, Keul P, Schäfers M, Levkau B, Haufe G. New fluorinated agonists for targeting the sphingosin-1-phosphate receptor 1 (S1P1). Bioorganic & Medicinal Chemistry Letters 2015;25: 5048-5051. Abstract
    Shaikh RS, Schilson SS, Wagner S, Hermann S, Keul P, Levkau B, Schafers M, Haufe G. Synthesis and evaluation of fluorinated fingolimod (FTY720) analogues for sphingosine-1-phosphate receptor molecular imaging by positron emission tomography. J Med Chem 2015;58: 3471-3484. Abstract
    Song J, Wu C, Korpos E, Zhang X, Agrawal SM, Wang Y, Faber C, Schafers M, Korner H, Opdenakker G, Hallmann R, Sorokin L. Focal MMP-2 and MMP-9 Activity at the Blood-Brain Barrier Promotes Chemokine-Induced Leukocyte Migration. Cell Rep 2015;10: 1040-1054. Abstract
    Waldmann CM, Hermann S, Faust A, Riemann B, Schober O, Schafers M, Haufe G, Kopka K. Novel fluorine-18 labeled 5-(1-pyrrolidinylsulfonyl)-7-azaisatin derivatives as potential PET tracers for in vivo imaging of activated caspases in apoptosis. Bioorg Med Chem 2015;23: 5734-5739. Abstract
    Wenning C, Vrachimis A, Dell Aquila A, Penning A, Stypmann J, Schafers M. Inhomogeneous myocardial stress perfusion in SPECT studies predicts future allograft dysfunction in heart transplant recipients. EJNMMI Res 2015;5: 51. Abstract
    Zinnhardt B, Viel T, Wachsmuth L, Vrachimis A, Wagner S, Breyholz H-J, Faust A, Hermann S, Kopka K, Faber C, Dolle F, Pappata S, Planas AM, Tavitian B, Schafers M, Sorokin LM, Kuhlmann MT, Jacobs AH. Multimodal imaging reveals temporal and spatial microglia and matrix metalloproteinase activity after experimental stroke. J Cereb Blood Flow Metab 2015;35: 1711-1721. Abstract

    2014

    Alsibai W, Hahnenkamp A, Eisenblätter M, Riemann B, Schäfers M, Bremer C, Haufe G, Höltke C. Fluorescent Non-peptidic RGD Mimetics with High Selectivity for alphaVbeta3 vs alphaIIbbeta3 Integrin Receptor: Novel Probes for in Vivo Optical Imaging. J Med Chem 2014;57: 9971-9982. Abstract
    Biesemann N, Mendler L, Wietelmann A, Hermann S, Schafers M, Kruger M, Boettger T, Borchardt T, Braun T. Myostatin regulates energy homeostasis in the heart and prevents heart failure. Circ Res 2014;115: 296-310. Abstract
    Heindel W, Gubitz R, Vieth V, Weckesser M, Schober O, Schafers M. The diagnostic imaging of bone metastases. Dtsch Arztebl Int 2014;111: 741-747. Abstract
    Limpachayaporn P, Wagner S, Kopka K, Schober O, Schafers M, Haufe G. Synthesis of 7-halogenated isatin sulfonamides: nonradioactive counterparts of caspase-3/-7 inhibitor-based potential radiopharmaceuticals for molecular imaging of apoptosis. J Med Chem 2014;57: 9383-9395. Abstract
    Lindner O, Burchert W, Schafers M, Schaefer W. [Myocardial perfusion scintigraphy 2012 in Germany Results of the 6th Query]. Nuklearmedizin 2014;53: 13-18. Abstract
    Paul M, Kies P, Schafers M, Schulze-Bahr E. Cardiac sympathetic innervation in a patient with catecholaminergic polymorphic ventricular tachycardia. Heart Rhythm 2014;11: 1490-1491. Abstract
    Pawelski H, Schnockel U, Kentrup D, Grabner A, Schafers M, Reuter S. SPECT- and PET-Based Approaches for Noninvasive Diagnosis of Acute Renal Allograft Rejection. Biomed Res Int 2014;2014: 874785. Abstract
    Persigehl T, Ring J, Bremer C, Heindel W, Holtmeier R, Stypmann J, Claesener M, Hermann S, Schafers M, Zerbst C, Schliemann C, Mesters RM, Berdel WE, Schwoppe C. Non-invasive monitoring of tumor-vessel infarction by retargeted truncated tissue factor tTF-NGR using multi-modal imaging. Angiogenesis 2014;17: 235-246. Abstract
    Prasad VP, Wagner S, Keul P, Hermann S, Levkau B, Schafers M, Haufe G. Synthesis of fluorinated analogues of sphingosine-1-phosphate antagonists as potential radiotracers for molecular imaging using positron emission tomography. Bioorg Med Chem 2014;22: 5168-5181. Abstract
    Schäfers KP, Bolwin K, Büther F, Hermann S, Jacobs AH, Kösters T, Kuhlmann M, Schäfers M, Viel T. High-Resolution Small Animal Imaging. In: Comprehensive Biomedical Physics 2014;Elsevier, Oxford: 181-211. Abstract
    Schelhaas S, Wachsmuth L, Viel T, Honess DJ, Heinzmann K, Smith D-M, Hermann S, Wagner S, Kuhlmann MT, Muller-Tidow C, Kopka K, Schober O, Schafers M, Schneider R, Aboagye EO, Griffiths J, Faber C, Jacobs AH. Variability of Proliferation and Diffusion in Different Lung Cancer Models as Measured by 3'-Deoxy-3'-18F-Fluorothymidine PET and Diffusion-Weighted MR Imaging. J Nucl Med 2014;55: 983-988. Abstract
    Tucci S, Flogel U, Hermann S, Sturm M, Schafers M, Spiekerkoetter U. Development and pathomechanisms of cardiomyopathy in very long-chain acyl-CoA dehydrogenase deficient (VLCAD(-/-)) mice. Biochim Biophys Acta 2014;1842: 677-685. Abstract
    Vahle A-K, Domikowsky B, Schwöppe C, Krähling H, Mally S, Schäfers M, Hermann S, Shahin V, Haier J, Schwab A, Stock C. Extracellular matrix composition and interstitial pH modulate NHE1-mediated melanoma cell motility. Int J Oncol 2014;44: 78-90. Abstract
    van Duijnhoven SMJ, Robillard MS, Hermann S, Kuhlmann MT, Schafers M, Nicolay K, Grull H. Imaging of MMP activity in postischemic cardiac remodeling using radiolabeled MMP-2/9 activatable peptide probes. Mol Pharm 2014;11: 1415-1423. Abstract
    Vogl T, Eisenblätter M, Völler T, Zenker S, Hermann S, van Lent P, Faust A, Geyer C, Petersen B, Roebrock K, Schäfers M, Bremer C, Roth J. Alarmin S100A8/S100A9 as a biomarker for molecular imaging of local inflammatory activity. Nat Commun 2014;5: 4593. Abstract
    Wenning C, Kloth C, Kuhlmann MT, Jacobs AH, Schober O, Hermann S, Schafers MA. Serial F-18-FDG PET/CT distinguishes inflamed from stable plaque phenotypes in shear-stress induced murine atherosclerosis. Atherosclerosis 2014;234: 276-282. Abstract

    2013

    Bettenworth D, Reuter S, Hermann S, Weckesser M, Kerstiens L, Stratis A, Nowacki TM, Ross M, Lenze F, Edemir B, Maaser C, Pap T, Koschmieder S, Heidemann J, Schäfers M, Lugering A. Translational 18F-FDG PET/CT Imaging to Monitor Lesion Activity in Intestinal Inflammation. J Nucl Med 2013;54: 748-755. Abstract
    Büther F, Ernst I, Hamill J, Eich HT, Schober O, Schäfers M, Schäfers KP. External radioactive markers for PET data-driven respiratory gating in positron emission tomography. Eur J Nucl Med Mol Imaging 2013;40: 602-614. Abstract
    Diepenbrock S, Hermann S, Schäfers M, Kuhlmann M, Hinrichs K. Comparative Visualization of Tracer Uptake in In Vivo Small Animal PET/CT Imaging of the Carotid Arteries. Comput Graph Forum 2013;32: 241-250. Abstract
    Grabner A, Kentrup D, Edemir B, Sirin Y, Pavenstadt H, Schlatter E, Schober O, Schafers M, Schnockel U, Reuter S. PET with 18F-FDG-labeled T lymphocytes for diagnosis of acute rat renal allograft rejection. J Nucl Med 2013;54: 1147-1153. Abstract
    Grabner A, Kentrup D, Schnockel U, Gabriels G, Schroter R, Pavenstadt H, Schober O, Schlatter E, Schafers M, Reuter S. Non-invasive imaging of acute allograft rejection after rat renal transplantation using 18F-FDG PET. J Vis Exp 2013: e4240. Abstract
    Grabner A, Kentrup D, Schnöckel U, Schäfers M, Reuter S. Non-Invasive Diagnosis of Acute Renal Allograft Rejection - Special Focus on Gamma Scintigraphy and Positron Emission Tomography 2013: chapter 4. Abstract
    Hahnenkamp A, Schäfers M, Bremer C, Höltke C. Design and Synthesis of Small-Molecule Fluorescent Photoprobes Targeted to Aminopeptdase N (APN/CD13) for Optical Imaging of Angiogenesis. Bioconjug Chem 2013;24: 1027-1038. Abstract
    Hugenberg V, Riemann B, Hermann S, Schober O, Schafers M, Szardenings K, Lebedev A, Gangadharmath U, Kolb H, Walsh J, Zhang W, Kopka K, Wagner S. Inverse 1,2,3-triazole-1-yl-ethyl substituted hydroxamates as highly potent matrix metalloproteinase inhibitors: (radio)synthesis, in vitro and first in vivo evaluation. J Med Chem 2013;56: 6858-6870. Abstract
    Limpachayaporn P, Riemann B, Kopka K, Schober O, Schäfers M, Haufe G. Influence of 4- or 5-substituents on the pyrrolidine ring of 5-[1-(2-methoxymethylpyrrolidinyl)sulfonyl]isatin derivatives on their inhibitory activities towards caspases-3 and -7. Eur J Med Chem 2013;64C: 562-578. Abstract
    Limpachayaporn P, Schäfers M, Schober O, Kopka K, Haufe G. Synthesis of new fluorinated, 2-substituted 5-pyrrolidinylsulfonyl isatin derivatives as caspase-3 and caspase-7 inhibitors: Nonradioactive counterparts of putative PET-compatible apoptosis imaging agents. Bioorg Med Chem 2013;21: 2025-2036. Abstract
    Limpachayaporn P, Wagner S, Kopka K, Hermann S, Schäfers M, Haufe G. Synthesis, 18F-radiolabeling, and in vivo biodistribution studies of N-fluorohydroxybutyl isatin sulfonamides using positron emission tomography. J Med Chem 2013;56: 4509-4520. Abstract
    Lindner O, Burchert W, Hacker M, Schaefer W, Schmidt M, Schober O, Schwaiger M, vom Dahl J, Zimmermann R, Schafers M. [Myocardial perfusion scintigraphy - short form of the German guideline]. Nuklearmedizin 2013;52: 51-63; quiz N22. Abstract
    Stegger L, Schülke C, Wenning C, Rahbar K, Kies P, Schober O, Schäfers M. Cardiac PET/MRI. Curr Cardiovasc Imaging Rep 2013: 1-10. Abstract
    Steingräber AK, Schelhaas S, Faust A, Jacobs AH, Schäfers M, Goerge T. Molecular imaging reveals time course of MMP activity in acute cutaneous vasculitis in vivo. Exp Dermatol 2013;22: 730-735. Abstract
    Viel T, Schelhaas S, Wagner S, Wachsmuth L, Schwegmann K, Kuhlmann M, Faber C, Kopka K, Schafers M, Jacobs AH. Early assessment of the efficacy of temozolomide chemotherapy in experimental glioblastoma using [18F]FLT-PET imaging. PLoS One 2013;8: e67911. Abstract
    Waschkau B, Faust A, Schäfers M, Bremer C. Performance of a new fluorescence-labeled MMP inhibitor to image tumor MMP activity in vivo in comparison to an MMP-activatable probe. Contrast Media Mol Imaging 2013;8: 1-11. Abstract
    Wenning C, Lange PS, Schülke C, Vrachimis A, Mönnig G, Schober O, Eckardt L, Schafers M. Pulmonary vein isolation in patients with paroxysmal atrial fibrillation is associated with regional cardiac sympathetic denervation. EJNMMI Res 2013;3: 81. Abstract
    Wenning C, Rahbar K, Vrachimis A, Schober O, Schäfers M, Stegger L. Myocardial perfusion imaging and coronary calcium scoring with a two-slice SPECT/CT system: can the attenuation map be calculated from the calcium scoring CT scan?. Eur J Nucl Med Mol Imaging 2013;40: 1069-1076. Abstract

    2012

    Bertrand J, Nitschke Y, Fuerst M, Hermann S, Schäfers M, Sherwood J, Nalesso G, Ruether W, Rutsch F, Dell'Accio F, Pap T. Decreased levels of nucleotide pyrophosphatase phosphodiesterase 1 are associated with cartilage calcification in osteoarthritis and trigger osteoarthritic changes in mice. Ann Rheum Dis 2012;71: 1249-1253. Abstract
    Büther K, Compeer MG, De Mey JG, Schober O, Schäfers M, Bremer C, Riemann B, Höltke C. Assessment of Endothelin-A Receptor Expression in Subcutaneous and Orthotopic Thyroid Carcinoma Xenografts in Vivo Employing Optical Imaging Methods. Endocrinology 2012;153: 2907-2918. Abstract
    Claesener M, Breyholz H-J, Hermann S, Faust A, Wagner S, Schober O, Schäfers M, Kopka K. Efficient synthesis of a fluorine-18 labeled biotin derivative. Nucl Med Biol 2012;39: 1189-1194. Abstract
    Hermann S, Starsichova A, Waschkau B, Kuhlmann M, Wenning C, Schober O, Schäfers M. Non-FDG imaging of atherosclerosis: Will imaging of MMPs assess plaque vulnerability?. J Nucl Cardiol 2012;19: 609-617. Abstract
    Hugenberg V, Breyholz H-J, Riemann B, Hermann S, Schober O, Schäfers M, Gangadharmath U, Mocharla V, Kolb H, Walsh J, Zhang W, Kopka K, Wagner S. A new class of highly potent matrix metalloproteinase inhibitors based on triazole-substituted hydroxamates: (radio)synthesis and in vitro and first in vivo evaluation. J Med Chem 2012;55: 4714-4727. Abstract
    Kuhlmann MT, Cuhlmann S, Hoppe I, Krams R, Evans PC, Strijkers GJ, Nicolay K, Hermann S, Schäfers M. Implantation of a Carotid Cuff for Triggering Shear-stress Induced Atherosclerosis in Mice. J Vis Exp 2012: 3308. Abstract
    Paul M, Rahbar K, Gerss J, Kies P, Schober O, Schäfers K, Breithardt G, Schulze-Bahr E, Wichter T, Schäfers M. Microvascular dysfunction in nonfailing arrhythmogenic right ventricular cardiomyopathy. Eur J Nucl Med Mol Imaging 2012;39: 416-420. Abstract
    Paulis LE, Geelen T, Kuhlmann MT, Coolen BF, Schäfers M, Nicolay K, Strijkers GJ. Distribution of lipid-based nanoparticles to infarcted myocardium with potential application for MRI-monitored drug delivery. J Control Release 2012;162: 276-285. Abstract
    Rahbar K, Seifarth H, Schäfers M, Stegger L, Hoffmeier A, Spieker T, Tiemann K, Maintz D, Scheld HH, Schober O, Weckesser M. Differentiation of malignant and benign cardiac tumors using 18F-FDG PET/CT. J Nucl Med 2012;53: 856-863. Abstract
    Schrigten D, Breyholz HJ, Wagner S, Hermann S, Schober O, Schäfers M, Haufe G, Kopka K. A new generation of radiofluorinated pyrimidine-2,4,6-triones as MMP-targeted radiotracers for positron emission tomography. J Med Chem 2012: 223-232. Abstract
    Szymanski MK, Kruizinga S, Tio RA, Willemsen AT, Schäfers MA, Stegger L, Dierckx RA, Hillege HL, Slart RH. Use of gated (13)N-NH(3) micro-PET to examine left ventricular function in rats. Nucl Med Biol 2012;39: 724-729. Abstract
    Vrachimis A, Hermann S, Mathe D, Schober O, Schäfers M. Systematic evaluation of 99mTc-tetrofosmin versus 99mTc-sestamibi to study murine myocardial perfusion in small animal SPECT/CT. EJNMMI Res 2012;2: 21. Abstract
    Wenning C, Stypmann J, Papavassilis P, Sindermann J, Schober O, Hoffmeier A, Scheld HH, Stegger L, Schäfers M. Left ventricular dilation and functional impairment assessed by gated SPECT are indicators of cardiac allograft vasculopathy in heart transplant recipients. J Heart Lung Transplant 2012;31: 719-728. Abstract

    2011

    Baumann A, Faust A, Law MP, Kuhlmann MT, Kopka K, Schäfers M, Karst U. Metabolite identification of a radiotracer by electrochemistry coupled to liquid chromatography with mass spectrometric and radioactivity detection. Anal Chem 2011;83: 5415-5421. Abstract
    Bunk EC, Stelzer S, Hermann S, Schäfers M, Schlatt S, Schwamborn JC. Cellular organization of adult neurogenesis in the Common Marmoset. Aging Cell 2011;10: 28-38. Abstract
    Grabner A, Schnöckel U, Kentrup D, Schäfers M, Reuter S. Strategies for Non-Invasive Molecular Imaging of Acute Allograft Rejection by Gamma Scintigraphy and Positron Emission Tomography. Curr Radiopharm 2011;4(1): 10-23. Abstract
    Herzberg S, Rahbar K, Stegger L, Schäfers M, Dugas M. Concept and implementation of a computer-based reminder system to increase completeness in clinical documentation. Int J Med Inform 2011;80: 351-358. Abstract
    Kentrup D, Reuter S, Schnöckel U, Grabner A, Edemir B, Pavenstadt H, Schober O, Schäfers M, Schlatter E, Bussemaker E. Hydroxyfasudil-mediated inhibition of ROCK1 and ROCK2 improves kidney function in rat renal acute ischemia-reperfusion injury. PLoS One 2011;6: e26419. Abstract
    Kies P, Paul M, Gerss J, Stegger L, Monnig G, Schober O, Wichter T, Schäfers M, Schulze-Bahr E. Impaired cardiac sympathetic innervation in symptomatic patients with long QT syndrome. Eur J Nucl Med Mol Imaging 2011;38: 1899-1907. Abstract
    Lindner O, Burchert W, Bengel FM, Zimmermann R, Vom Dahl J, Schäfers M. Myocardial perfusion scintigraphy in Germany in 2009: utilization and state of the practice. Eur J Nucl Med Mol Imaging 2011;38: 1485-1492. Abstract
    Lindner O, Burchert W, Schäfers M. [High radiation exposure by myocardial scintigraphy: Is there a dosage problem?]. Dtsch Med Wochenschr 2011;136: 600. Abstract
    Michel K, Büther K, Law MP, Wagner S, Schober O, Hermann S, Schäfers M, Riemann B, Höltke C, Kopka K. Development and evaluation of endothelin-A receptor (radio)ligands for positron emission tomography. J Med Chem 2011;54: 939-948. Abstract
    Paul M, Wichter T, Kies P, Gerss J, Wollmann C, Rahbar K, Eckardt L, Breithardt G, Schober O, Schulze-Bahr E, Schäfers M. Cardiac Sympathetic Dysfunction in Genotyped Patients with Arrhythmogenic Right Ventricular Cardiomyopathy and Risk of Recurrent Ventricular Tachyarrhythmias. J Nucl Med 2011;52: 1559-65. Abstract
    Seidler DG, Mohamed NA, Bocian C, Stadtmann A, Hermann S, Schäfers K, Schäfers M, Iozzo RV, Zarbock A, Götte M. The role for decorin in delayed-type hypersensitivity. J Immunol 2011;187: 6108-6119. Abstract
    Waerzeggers Y, Monfared P, Viel T, Faust A, Kopka K, Schäfers M, Tavitian B, Winkeler A, Jacobs A. Specific biomarkers of receptors, pathways of inhibition and targeted therapies: pre-clinical developments. Br J Radiol 2011;84 Spec No 2: S168-78. Abstract
    Wagner S, Faust A, Breyholz H-J, Schober O, Schäfers M, Kopka K. The MMP inhibitor (R)-2-(N-benzyl-4-(2-[18F]fluoroethoxy)phenylsulphonamido)-N-hydroxy-3-met hylbutanamide: Improved precursor synthesis and fully automated radiosynthesis. Appl Radiat Isot 2011;69: 862-868. Abstract
    Wagner S, Hugenberg V, Breyholz HJ, Faust A, Schober O, Schäfers M, Kopka K. Highly potent matrix metalloproteinase inhibitors based on triazole-substituted hydroxamic acids: synthesis, in vitro evaluation and 18F-radiolabelling. J Label Compd Radiopharm 2011;54: 150.
    Wenning C, Stegger D, Hermann S, Schober O, Schäfers M. F-18-FDG Imaging for Atherosclerotic Plaque Characterization. Curr Cardiovasc Imaging Rep 2011;4: 190-198. Abstract

    2010

    Bovens S, Schulze Elfringhoff A, Kaptur M, Reinhardt D, Schäfers M, Lehr M. 1-(5-Carboxyindol-1-yl)propan-2-one Inhibitors of Human Cytosolic Phospholipase A(2)alpha: Effect of Substituents in Position 3 of the Indole Scaffold on Inhibitory Potency, Metabolic Stability, Solubility, and Bioavailability. J Med Chem 2010;53: 8298–8308. Abstract
    Breyholz HJ, Wagner S, Faust A, Riemann B, Höltke C, Hermann S, Schober O, Schäfers M, Kopka K. Radiofluorinated pyrimidine-2,4,6-triones as molecular probes for noninvasive MMP-targeted imaging. ChemMedChem 2010;5: 777-789. Abstract
    Buscher K, Judenhofer MS, Kuhlmann MT, Hermann S, Wehrl HF, Schäfers KP, Schäfers M, Pichler BJ, Stegger L. Isochronous assessment of cardiac metabolism and function in mice using hybrid PET/MRI. J Nucl Med 2010;51: 1277-1284. Abstract
    Büther F, Ernst I, Dawood M, Kraxner P, Schäfers M, Schober O, Schäfers KP. Detection of respiratory tumour motion using intrinsic list mode-driven gating in positron emission tomography. Eur J Nucl Med Mol Imaging 2010;37: 2315-2327. Abstract
    Dawood M, Brune C, Büther F, Jiang X, Burger M, Schober O, Schäfers M, Schäfers KP. A continuity equation based optical flow method for cardiac motion correction in 3 D PET data. Lect Notes Comput Sc 2010;6326: 88-97. Abstract
    Drews A, Bovens S, Roebrock K, Sunderkotter C, Reinhardt D, Schäfers M, van der Velde A, Schulze Elfringhoff A, Fabian J, Lehr M. 1-(5-carboxyindol-1-yl)propan-2-one inhibitors of human cytosolic phospholipase A(2)alpha with reduced lipophilicity: synthesis, biological activity, metabolic stability, solubility, bioavailability, and topical in vivo activity. J Med Chem 2010;53: 5165-5178. Abstract
    Fabritz L, Damke D, Emmerich M, Kaufmann SG, Theis K, Blana A, Fortmuller L, Laakmann S, Hermann S, Aleynichenko E, Steinfurt J, Volkery D, Riemann B, Kirchhefer U, Franz MR, Breithardt G, Carmeliet E, Schäfers M, Maier SKG, Carmeliet P, Kirchhof P. Autonomic modulation and antiarrhythmic therapy in a model of long QT syndrome type 3. Cardiovasc Res 2010;87: 60-72. Abstract
    Flotats A, Carrio I, Agostini D, Le Guludec D, Marcassa C, Schäfers M, Somsen GA, Unlu M, Verberne HJ. Proposal for standardization of 123I-metaiodobenzylguanidine (MIBG) cardiac sympathetic imaging by the EANM Cardiovascular Committee and the European Council of Nuclear Cardiology. Eur J Nucl Med Mol Imaging 2010;37: 1802-1812. Abstract
    Hugenberg V, Wagner S, Kopka K, Schober O, Schäfers M, Haufe G. Synthesis of geminal difluorides by oxidative desulfurization-difluorination of alkyl aryl thioethers with halonium electrophiles in the presence of fluorinating reagents and its application for 18F-radiolabeling. J Org Chem 2010;75: 6086-6095. Abstract
    Korb A, Hillmann A, Burgis S, Kollias G, Hermann S, Schäfers M, Pap T, Weide T, Gessner A, Pavenstadt H. The TRAF6 binding molecule p62/SQSTM1 is a critical regulator of inflammatory bone destruction. Ann Rheum Dis 2010;69: A19-A19.
    Law MP, Schäfers K, Kopka K, Wagner S, Schober O, Schäfers M. Molecular imaging of cardiac sympathetic innervation by 11C-mHED and PET: from man to mouse?. J Nucl Med 2010;51: 1269-1276. Abstract
    Law MP, Wagner S, Kopka K, Renner C, Pike VW, Schober O, Schäfers M. Preclinical evaluation of an 18F-labelled beta1-adrenoceptor selective radioligand based on ICI 89,406. Nucl Med Biol 2010;37: 517-526. Abstract
    Lindner O, Burchert W, Bengel FM, Zimmermann R, Vom Dahl J, Schäfer W, Schober O, Schäfers M. [Myocardial perfusion scintigraphy 2008 in Germany - results of the fourth query]. Nuklearmedizin 2010;49: 65-72. Abstract
    Lucignani G, Schäfers M. PET, CT and MRI characterisation of the atherosclerotic plaque. Eur J Nucl Med Mol Imaging 2010;37: 2398-2402. Abstract
    Range FT, Wenning C, Rahbar K, Schober O Schäfers M. Nuclear medicine imaging of the heart and large vessels - State of the art. Zeitschrift für Herz-, Thorax- und Gefäßchirurgie 2010;24: 169-184. Abstract
    Reuter S, Schnöckel U, Edemir B, Schröter R, Kentrup D, Pavenstädt H, Schober O, Schlatter E, Gabriels G, Schäfers M. Potential of noninvasive serial assessment of acute renal allograft rejection by 18F-FDG PET to monitor treatment efficiency. J Nucl Med 2010;51: 1644-1652. Abstract
    Schäfers M, Schober O, Hermann S. Matrix-metalloproteinases as imaging targets for inflammatory activity in atherosclerotic plaques. J Nucl Med 2010;51: 663-666. Abstract
    Schnöckel U, Hermann S, Stegger L, Law M, Kuhlmann M, Schober O, Schäfers K, Schäfers M. Small-animal PET: a promising, non-invasive tool in pre-clinical research. Eur J Pharm Biopharm 2010;74: 50-54. Abstract
    Tiemann K, Stypmann J, Landeta F, Wiebe S, Schäfers M, Schober O, Weckesser M, Rahbar K. Three-dimensional echocardiography and 153Sm-EDTMP SPECT/CT in extensive cardiac metastases from osteosarcoma. Eur J Nucl Med Mol Imaging 2010;37: 2406. Abstract
    Tsotsalas MM, Kopka K, Luppi G, Wagner S, Law MP, Schäfers M, De Cola L. Encapsulating (111)In in nanocontainers for scintigraphic imaging: synthesis, characterization, and in vivo biodistribution. ACS Nano 2010;4: 342-348. Abstract
    Waerzeggers Y, Rahbar K, Riemann B, Weckesser M, Schäfers M, Hesselmann V, Niederstadt T, Willich N, Stummer W, Paulus W, Schober O, Jacobs AH. PET in the diagnosis and management of patients with brain metastasis: Current role and future perspectives. Cancer Biomark 2010;7: 219-233. Abstract

    2009

    Büther F, Dawood M, Stegger L, Wübbeling F, Schäfers M, Schober O, Schäfers KP. List mode-driven cardiac and respiratory gating in PET. J Nucl Med 2009;50: 674-681. Abstract
    Dawood M, Büther F, Schober O, Schäfers M, Schäfers KP. Wieviele respiratorische Gates? Einfluss der Anzahl an Gates auf atemgetriggerte PET Aufnahmen. Nuklearmedizin 2009;48: A23.
    Dawood M, Büther F, Stegger L, Jiang X, Schober O, Schäfers M, Schäfers KP. Optimal number of respiratory gates in positron emission tomography: a cardiac patient study. Med Phys 2009;36: 1775-1784. Abstract
    Faust A, Hermann S, Wagner S, Haufe G, Schober O, Schäfers M, Kopka K. Molecular imaging of apoptosis in vivo with scintigraphic and optical biomarkers - a status report. Anticancer Agents Med Chem 2009;9: 968-985. Abstract
    Faust A, Waschkau B, Waldeck J, Höltke C, Breyholz H-J, Wagner S, Kopka K, Schober O, Heindel W, Schäfers M, Bremer C. Synthesis and evaluation of a novel hydroxamate based fluorescent photoprobe for imaging of matrix metalloproteinases. Bioconjug Chem 2009;20: 904-912. Abstract
    Höltke C, Faust A, Breyholz H-J, Kopka K, Schober O, Riemann B, Bremer C, Schäfers M, Wagner S. Non-invasive approaches to visualize the endothelin axis in vivo using state-of-the-art molecular imaging modalities. Mini Rev Med Chem 2009;9: 1580-1595. Abstract
    Höltke C, Law MP, Wagner S, Kopka K, Faust A, Breyholz H-J, Schober O, Bremer C, Riemann B, Schäfers M. PET-compatible endothelin receptor radioligands: synthesis and first in vitro and in vivo studies. Bioorg Med Chem 2009;17: 7197-7208. Abstract
    Höltke C, Waldeck J, Kopka K, Heindel W, Schober O, Schäfers M, Bremer C. Biodistribution of a nonpeptidic fluorescent endothelin A receptor imaging probe. Mol Imaging 2009;8: 27-34. Abstract
    Kato K, Schober O, Ikeda M, Schäfers M, Ishigaki T, Kies P, Naganawa S, Stegger L. Evaluation and comparison of 11C-choline uptake and calcification in aortic and common carotid arterial walls with combined PET/CT. Eur J Nucl Med Mol Imaging 2009;36: 1622-1628. Abstract
    Kopka K, Faust A, Hermann S, Kuhlmann M, Wagner S, Klohs J, Schober O, Wunder A, Schäfers M. 18F-Labeled Isatin as putative biomarker for the specific imaging of activated caspases in apoptosis. J Labelled Comp Radiopharm 2009;52: S39-S39.
    Lindner O, Burchert W, Bengel FM, Zimmermann R, vom Dahl J, Schafer W, Schober O, Schäfers M. [Myocardial perfusion scintigraphy 2007 in Germany - results of the query and current status]. Nuklearmedizin 2009;48: 131-137. Abstract
    Podichetty AK, Faust A, Kopka K, Wagner S, Schober O, Schäfers M, Haufe G. Fluorinated isatin derivatives Part 1: synthesis of new N-substituted (S)-5-[1-(2-methoxymethylpyrrolidinyl)sulfonyl]isatins as potent caspase-3 and -7 inhibitors. Bioorg Med Chem 2009;17: 2680-2688. Abstract
    Podichetty AK, Wagner S, Faust A, Schäfers M, Schober O, Kopka K, Haufe G. Fluorinated isatin derivatives Part 3 New side-chain fluoro-functionalized pyrrolidinyl sulfonyl isatins as potent caspase-3 and -7 inhibitors. Future Med Chem 2009;1: 969-989. Abstract
    Podichetty AK, Wagner S, Kopka K, Schröer S Faust A Schäfers M, Schober O, Haufe G. New N-Substituted 5-Pyrrolidinylsulfonyl Isatins as Potential Tools for Imaging of Caspases in Apoptosis by Positron Emission Tomography. J Med Chem 2009;52: 3484-3495.
    Podichetty AK, Wagner S, Schroer S, Faust A, Schäfers M, Schober O, Kopka K, Haufe G. Fluorinated isatin derivatives Part 2 New N-substituted 5-pyrrolidinylsulfonyl isatins as potential tools for molecular imaging of caspases in apoptosis. J.Med.Chem. 2009;52: 3484-3495. Abstract
    Range FT, Paul M, Schäfers KP, Acil T, Kies P, Hermann S, Schober O, Breithardt G, Wichter T, Schäfers MA. Myocardial perfusion in nonischemic dilated cardiomyopathy with and without atrial fibrillation. J Nucl Med 2009;50: 390-396. Abstract
    Reuter S, Schnockel U, Edemir B, Kanzog A, Schroter R, Neugebauer U, Pavenstadt H, Schober O, Schäfers M, Schlatter E, Gabriels G. FDG-Positron Emission Tomography in Diagnosis and Therapy Follow-Up of Acute Rat Renal Allograft Rejection. Am J Transplant 2009;9: 554-555.
    Reuter S, Schnöckel U, Schroter R, Schober O, Pavenstädt H, Schäfers M, Gabriels G, Schlatter E. Non-invasive imaging of acute renal allograft rejection in rats using small animal F-FDG-PET. PLoS One 2009;4: e5296. Abstract
    Ropinski T, Hermann S, Reich R, Schäfers M, Hinrichs K. Multimodal vessel visualization of mouse aorta PET/CT scans. IEEE Trans Vis Comput Graph 2009;15: 1515-1522. Abstract
    Schäfers M, Bengel F, Bull U, Burchert W, Kies P, Kluge R, Krause BJ, Lindner O, Nienaber C, Nowak B, Schafer W, Schober O, Schwaiger M, Silber S, Vom Dahl J, Zimmermann R. [Position paper nuclear cardiology: update 2008]. Nuklearmedizin 2009;48: 71-78. Abstract
    Stegger L, Heijman E, Schäfers KP, Nicolay K, Schäfers MA, Strijkers GJ. Quantification of left ventricular volumes and ejection fraction in mice using PET, compared with MRI. J Nucl Med 2009;50: 132-138. Abstract
    Stelljes M, Hermann S, Kohler G, Silling G, Berdel WE, Schober O, Schäfers M, Kienast J. Noninvasive assessment of intestinal graft-versus-host disease activity by molecular imaging with 18F-fluorodeoxyglucose positron emission tomography. Bone Marrow Transplant 2009;43: S15-S15.
    Wagner S, Breyholz H-J, Höltke C, Faust A, Schober O, Schäfers M, Kopka K. A new 18F-labelled derivative of the MMP inhibitor CGS 27023A for PET: radiosynthesis and initial small-animal PET studies. Appl Radiat Isot 2009;67: 606-610. Abstract
    Wagner S, Breyholz H, Schäfers M, Schober O, Kopka K. 18F-Labeled pyrimidine-2,4,6-triones as potential probes for imaging activated MMPS. J Labelled Comp Radiopharm 2009;52: S40-S40.
    Weberpals M, Hermes M, Hermann S, Kummer MP, Terwel D, Semmler A, Berger M, Schäfers M, Heneka MT. NOS2 gene deficiency protects from sepsis-induced long-term cognitive deficits. J Neurosci 2009;29: 14177-14184. Abstract

    2008

    Faust A, Waschkau B, Waldeck J, Höltke C, Breyholz H-J, Wagner S, Kopka K, Heindel W, Schäfers M, Bremer C. Synthesis and evaluation of a novel fluorescent photoprobe for imaging matrix metalloproteinases. Bioconjug Chem 2008;19: 1001-1008. Abstract
    Kobbert C, Mollmann C, Schäfers M, Hermann S, Baba HA, Hoffmeier A, Breithardt G, Scheld HH, Weissen-Plenz G, Sindermann JR. Transgenic model of cardiac rhabdomyosarcoma formation. J Thorac Cardiovasc Surg 2008;136: 1178-1186. Abstract
    Kopka K, Hermann S, Faust A, Kuhlmann M, Wagner S, Breyholz HJ, Schober O, Schäfers M. Imaging of the "roads to ruin": 18F-labelled isatin as potential tracer for the molecular visualisation of activated caspases in apoptosis. Q J Nucl Med Mol Imaging 2008;52: 21-22.
    Law MP, Wagner S, Kopka K, Pike VW, Schober O, Schäfers M. Are [O-methyl-11C]derivatives of ICI 89,406 beta1-adrenoceptor selective radioligands suitable for PET?. Eur J Nucl Med Mol Imaging 2008;35: 174-185. Abstract
    Levkau B, Schäfers M, Wohlschlaeger J, von Wnuck Lipinski K, Keul P, Hermann S, Kawaguchi N, Kirchhof P, Fabritz L, Stypmann J, Stegger L, Flogel U, Schrader J, Fischer JW, Hsieh P, Ou YL, Mehrhof F, Tiemann K, Ghanem A, Matus M, Neumann J, Heusch G, Schmid KW, Conway EM, Baba HA. Survivin determines cardiac function by controlling total cardiomyocyte number. Circulation 2008;117: 1583-1593. Abstract
    Riemann B, Schäfers KP, Schober O, Schäfers M. Small animal PET in preclinical studies: opportunities and challenges. Q J Nucl Med Mol Imaging 2008;52: 215-221.
    Schäfers M. The future of molecular imaging in the clinic needs a clear strategy and a multidisciplinary effort. Basic Res Cardiol 2008;103: 200-202. Abstract
    Schnöckel U, Reuter S, Stegger L, Schlatter E, Schäfers KP, Hermann S, Schober O, Gabriels G, Schäfers M. Dynamic 18F-fluoride small animal PET to noninvasively assess renal function in rats. Eur J Nucl Med Mol Imaging 2008;35: 2267-2274. Abstract
    Semmler A, Hermann S, Mormann F, Weberpals M, Paxian SA, Okulla T, Schäfers M, Kummer MP, Klockgether T, Heneka MT. Sepsis causes neuroinflammation and concomitant decrease of cerebral metabolism. J Neuroinflammation 2008;5: 38. Abstract
    Stegger L, Schäfers M, Weckesser M, Schober O. EANM-ESR white paper on multimodality imaging. Eur J Nucl Med Mol Imaging 2008;35: 677-680. Abstract
    Stelljes M, Hermann S, Albring J, Kohler G, Loffler M, Franzius C, Poremba C, Schlosser C, Volkmann S, Opitz C, Bremer C, Kucharzik T, Silling G, Schober O, Berdel WE, Schäfers M, Kienast J. Clinical molecular imaging in intestinal graft-versus-host disease: mapping of disease activity, prediction, and monitoring of treatment efficiency by positron emission tomography. Blood 2008;111: 2909-2918. Abstract
    von Wallbrunn A, Waldeck J, Höltke C, Zuhlsdorf M, Mesters R, Heindel W, Schäfers M, Bremer C. In vivo optical imaging of CD13/APN-expression in tumor xenografts. J Biomed Opt 2008;13: 011007. Abstract
    Waldeck J, Hager F, Höltke C, Lanckohr C, von Wallbrunn A, Torsello G, Heindel W, Theilmeier G, Schäfers M, Bremer C. Fluorescence reflectance imaging of macrophage-rich atherosclerotic plaques using an alphavbeta3 integrin-targeted fluorochrome. J Nucl Med 2008;49: 1845-1851. Abstract

    2007

    Breyholz HJ, Wagner S, Levkau B, Schober O, Schäfers M, Kopka K. A 18F-radiolabeled analogue of CGS 27023A as a potential agent for assessment of matrix-metalloproteinase activity in vivo. Q J Nucl Med Mol Imaging 2007;51: 24-32. Abstract
    Büther F, Stegger L, Dawood M, Range F, Schäfers M, Fischbach R, Wichter T, Schober O, Schäfers KP. Effective methods to correct contrast agent-induced errors in PET quantification in cardiac PET/CT. J Nucl Med 2007;48: 1060-1068. Abstract
    Faust A, Wagner S, Law MP, Hermann S, Schnöckel U, Keul P, Schober O, Schäfers M, Levkau B, Kopka K. The nonpeptidyl caspase binding radioligand (S)-1-(4-(2-[18F]Fluoroethoxy)-benzyl)-5-[1-(2-methoxymethylpyrrolidinyl)s ulfonyl]isatin ([18F]CbR) as potential positron emission tomography-compatible apoptosis imaging agent. Q J Nucl Med Mol Imaging 2007;51: 67-73. Abstract
    Hartung D, Schäfers M, Fujimoto S, Levkau B, Narula N, Kopka K, Virmani R, Reutelingsperger C, Hofstra L, Kolodgie F D, Petrov A, Narula J. Targeting of matrix metalloproteinase activation for noninvasive detection of vulnerable atherosclerotic lesions. Eur J Nucl Med Mol Imaging 2007;34: 1-8.
    Höltke C, von Wallbrunn A, Kopka K, Schober O, Heindel W, Schäfers M, Bremer C. A fluorescent photoprobe for the imaging of endothelin receptors. Bioconjug Chem 2007;18: 685-694. Abstract
    Höltke C, Wagner S, Breyholz HJ, Faust A, Law MP, Schäfers M, Kopka K. Developement, synthesis and in vitro evaluation of novel et-a receptor pet-radioligands based on pd 156707. J Labelled Comp Radiopharm 2007;50: 258.
    Kirchhof P, Klimas J, Fabritz L, Zwiener M, Jones LR, Schäfers M, Hermann S, Boknik P, Schmitz W, Breithardt G, Kirchhefer U, Neumann J. Stress and high heart rate provoke ventricular tachycardia in mice expressing triadin. J Mol Cell Cardiol 2007;42: 962-971. Abstract
    Kopka K, Breyholz H J, Wagner S, Brandau W, Hermann S, Schober O, Levkau B, Bremcer C, Schäfers M. Radioiodinated pyrimidine-2,4,6-triones as model probes for the in vivo molecular imaging of activated mmps. J Labelled Comp Radiopharm 2007;50: 310.
    Lang N, Hermann S, Hold S, Mienkina M, Stegger L, Stypmann J, Schober O, Schäfers M, Schäfers KP, Schmitz G. Hybrid 3D Sono/PET in a mouse. Eur J Nucl Med Mol Imaging 2007;34: 1706-1707. Abstract
    Range FT, Schäfers M, Acil T, Schäfers KP, Kies P, Paul M, Hermann S, Brisse B, Breithardt G, Schober O, Wichter T. Impaired myocardial perfusion and perfusion reserve associated with increased coronary resistance in persistent idiopathic atrial fibrillation. Eur Heart J 2007;28: 2223-2230. Abstract
    Schäfers M. Molekulare kardiovaskuläre Bildgebung. Nuklearmediziner 2007;30: 57-63. Abstract
    Stegger L, Lipke CSA, Kies P, Nowak B, Schober O, Buell U, Schäfers M, Schaefer WM. Quantification of left ventricular volumes and ejection fraction from gated 99mTc-MIBI SPECT: validation of an elastic surface model approach in comparison to cardiac magnetic resonance imaging, 4D-MSPECT and QGS. Eur J Nucl Med Mol Imaging 2007;34: 900-909. Abstract
    Stegger L, Schäfers K, Kopka K, Wagner S, Hermann S, Kies P, Law M, Schober O, Schäfers M. Molecular cardiovascular imaging using scintigraphic methods. Eur Radiol 2007;17: 1422-1432. Abstract
    von Wallbrunn A, Höltke C, Zuhlsdorf M, Heindel W, Schäfers M, Bremer C. In vivo imaging of integrin alpha v beta 3 expression using fluorescence-mediated tomography. Eur J Nucl Med Mol Imaging 2007;34: 745-754. Abstract
    Wagner S, Breyholz H-J, Law MP, Faust A, Höltke C, Schroer S, Haufe G, Levkau B, Schober O, Schäfers M, Kopka K. Novel fluorinated derivatives of the broad-spectrum MMP inhibitors N-hydroxy-2(R)-[[(4-methoxyphenyl)sulfonyl](benzyl)- and (3-picolyl)-amino]-3-methyl-butanamide as potential tools for the molecular imaging of activated MMPs with PET. J Med Chem 2007;50: 5752-5764. Abstract
    Wagner S, Breyholz HJ, Law MP, Faust A, Hoeltke C, Schober O, Schäfers M, Kopka K. Fluorinated derivatives of the potent matrix metalloproteinase inhibitors CGS 25966 and CGS 27023A: (Radio)syntheses and in vitro evaluation. J Label Compd Radiopharm 2007;50: 62.

    2006

    Franzius C, Hotfilder M, Poremba C, Hermann S, Schafers K, Gabbert HE, Jurgens H, Schober O, Schafers M, Vormoor J. Successful high-resolution animal positron emission tomography of human Ewing tumours and their metastases in a murine xenograft model. Eur J Nucl Med Mol Imaging 2006;33: 1432-1441. Abstract
    Höltke C, Law MP, Wagner S, Breyholz H-J, Kopka K, Bremer C, Levkau B, Schober O, Schäfers M. Synthesis, in vitro pharmacology and biodistribution studies of new PD 156707-derived ET(A) receptor radioligands. Bioorg Med Chem 2006;14: 1910-1917. Abstract
    Kirchhof P, Fabritz L, Zwiener M, Witt H, Schäfers M, Zellerhoff S, Paul M, Athai T, Hiller K-H, Baba HA, Breithardt G, Ruiz P, Wichter T, Levkau B. Age- and training-dependent development of arrhythmogenic right ventricular cardiomyopathy in heterozygous plakoglobin-deficient mice. Circulation 2006;114: 1799-1806. Abstract
    Kopka K, Faust A, Keul P, Wagner S, Breyholz H-J, Höltke C, Schober O, Schäfers M, Levkau B. 5-pyrrolidinylsulfonyl isatins as a potential tool for the molecular imaging of caspases in apoptosis. J Med Chem 2006;49: 6704-6715. Abstract
    Schäfers KP, Lang N, Stegger L, Schober O, Schäfers M. Gated listmode acquisition with the quadHIDAC animal PET to image mouse hearts. Z Med Phys 2006;16: 60-66. Abstract
    Stegger L, Hoffmeier A-N, Schäfers KP, Hermann S, Schober O, Schäfers MA, Theilmeier G. Accurate noninvasive measurement of infarct size in mice with high-resolution PET. J Nucl Med 2006;47: 1837-1844. Abstract
    Theilmeier G, Schmidt C, Herrmann J, Keul P, Schäfers M, Herrgott I, Mersmann J, Larmann J, Hermann S, Stypmann J, Schober O, Hildebrand R, Schulz R, Heusch G, Haude M, von Wnuck Lipinski K, Herzog C, Schmitz M, Erbel R, Chun J, Levkau B. High-density lipoproteins and their constituent, sphingosine-1-phosphate, directly protect the heart against ischemia/reperfusion injury in vivo via the S1P3 lysophospholipid receptor. Circulation 2006;114: 1403-1409. Abstract
    Wagner S, Breyholz H-J, Faust A, Höltke C, Levkau B, Schober O, Schäfers M, Kopka K. Molecular imaging of matrix metalloproteinases in vivo using small molecule inhibitors for SPECT and PET. Curr Med Chem 2006;13: 2819-2838. Abstract
    Wagner S, Law MP, Riemann B, Pike VW, Breyholz H-J, Höltke C, Faust A, Renner C, Schober O, Schäfers M, Kopka K. Synthesis of an 18F-labelled high affinity β1-adrenoceptor PET radioligand based on ICI 89,406. J Label Compd Radiopharm 2006;49: 177-195. Abstract

    2005

    Breyholz HJ, Schäfers M, Wagner S, Höltke C, Faust A, Rabeneck H, Levkau B, Schober O, Kopka K. C-5-disubstituted barbiturates as potential molecular probes for noninvasive matrix metalloproteinase imaging. J Med Chem 2005;48: 3400-3409. Abstract
    Hermann S, Stegger L, Levkau B, Schober O, Schafers M. [Scintigraphic molecular imaging]. Z Med Phys 2005;15: 147-154. Abstract
    Schäfers KP, Reader AJ, Kriens M, Knoess C, Schober O, Schäfers M. Performance evaluation of the 32-module quadHIDAC small-animal PET scanner. J.Nucl.Med. 2005;46: 996-1004. Abstract
    Schafers KP, Stegger L, Barnard C, Kriens M, Hermann S, Schober O, Schafers M. ECG-triggered high-resolution positron emission tomography: a breakthrough in cardiac molecular imaging of mice. Eur J Nucl Med Mol Imaging 2005;32: 383. Abstract
    Stegger L, Schäfers KP, Flogel U, Livieratos L, Hermann S, Jacoby C, Keul P, Conway EM, Schober O, Schrader J, Levkau B, Schäfers M. Monitoring left ventricular dilation in mice with PET. J.Nucl.Med. 2005;46: 1516-1521.
    Wagner S, Law MP, Riemann B, Pike VW, Breyholz H-J, Höltke C, Faust A, Schober O, Schäfers M, Kopka K. Synthesis of (R)- and (S)-[O-methyl-11C]N-[2-[3-(2-cyano-phenoxy)-2-hydroxy-propylamino]-ethyl]-N′-(4-methoxy-phenyl)-urea as candidate high affinity β1-adrenoceptor PET radioligands. J Label Compd Radiopharm 2005;48: 721-733. Abstract

    2004

    Kies P, Wichter T, Schäfers M, Paul M, Schäfers KP, Eckardt L, Stegger L, Schulze-Bahr E, Rimoldi O, Breithardt G, Schober O, Camici PG. Abnormal myocardial presynaptic norepinephrine recycling in patients with Brugada syndrome. Circulation 2004;110: 3017-3022. Abstract
    Kopka K, Breyholz HJ, Wagner S, Law MP, Riemann B, Schroer S, Trub M, Guilbert B, Levkau B, Schober O, Schäfers M. Synthesis and preliminary biological evaluation of new radioiodinated MMP inhibitors for imaging MMP activity in vivo. Nucl Med Biol 2004;31: 257-267. Abstract
    Levkau B, Hermann S, Theilmeier G, van der Giet M, Chun J, Schober O, Schäfers M. High-density lipoprotein stimulates myocardial perfusion in vivo. Circulation 2004;110: 3355-3359. Abstract
    Nofer JR, van der Giet M, Tolle M, Wolinska I, von Wnuck Lipinski K, Baba HA, Tietge UJ, Godecke A, Ishii I, Kleuser B, Schäfers M, Fobker M, Zidek W, Assmann G, Chun J, Levkau B. HDL induces NO-dependent vasorelaxation via the lysophospholipid receptor S1P3. J.Clin.Invest. 2004;113: 569-581. Abstract
    Schäfers M, Riemann B, Kopka K, Breyholz HJ, Wagner S, Schäfers KP, Law MP, Schober O, Levkau B. Scintigraphic imaging of matrix metalloproteinase activity in the arterial wall in vivo. Circulation 2004;109: 2554-2559. Abstract
    Schafers M, Stypmann J, Wilhelm MJ, Stegger L, Kies P, Hermann S, Schmidt C, Breithardt G, Scheld HH, Schober O. Functional changes after partial left ventriculectomy and mitral valve repair assessed by gated perfusion SPECT. J Nucl Med 2004;45: 1605-1610. Abstract

    2002

    Wichter T, Matheja P, Eckardt L, Kies P, Schäfers KP, Schulze-Bahr E, Haverkamp W, Borggrefe M, Schober O, Breithardt G, Schäfers M. Cardiac autonomic dysfunction in Brugada syndrome. Circulation 2002;105: 702-706. Abstract

    1998

    Schäfers M, Dutka D, Rhodes CG, Lammertsma AA, Hermansen F, Schober O, Camici PG. Myocardial presynaptic and postsynaptic autonomic dysfunction in hypertrophic cardiomyopathy. Circ Res 1998;82: 57-62. Abstract
    Schäfers M, Lerch H, Wichter T, Rhodes CG, Lammertsma AA, Borggrefe M, Hermansen F, Schober O, Breithardt G, Camici PG. Cardiac sympathetic innervation in patients with idiopathic right ventricular outflow tract tachycardia. J Am Coll Cardiol 1998;32: 181-186. Abstract
  • Patente

    Faust A, Hermann S, Roth J, Schäfers M, Vogl T. Quinolone-3-carboxamide compounds and their use in diagnosis. WO 2016067238 A1; publication date: 06/05/2016. PCT/IB2015/058348; publication date: 06/05/2016.

    Chen G, Gangadharmath UB, Kasi D, Kolb HC, Liu C, Sinha A, Szardenings AK, Walsh JC, Wang E, Yu C, Zhang W, Kopka K, Haufe G, Schäfers M, Hugenberg V, Wagner S, Hermann S, Breyholz H-J, Faust A. Compounds with matrix-metalloproteinase inhibitory activity and imaging agents thereof. EP 2644601; 02/10/2013.

    Haufe G, Schilson S, Keul P, Levkau B, Schäfers M. New ligands for targeting of S1P receptors for in vivo imaging and treatment of diseases. WO 2013/026765; publication date: 28/02/2013.

    Haufe G, Schilson S, Keul P, Levkau B, Schäfers M. New ligands for targeting of S1P receptors for in vivo imaging and treatment of diseases. EP 2559683; 20/02/2013. WO 2013/026765; 28/02/2013. EP 2744776; 25/06/2014.

    Haufe G, Hermann S, Hugenberg V, Kolb H, Kopka K, Wagner S, Schäfers M. Compounds with matrix-metalloproteinase inhibitory activity. WO 2013/010573; publication date: 24/01/2013.

    Behrends M, Breyholz H-J, Hermann S, Haufe G, Hugenberg V, Kolb H, Kopka K, Wagner S, Schäfers M. Compounds with matrix-metalloproteinase inhibitory activity. EP 2520573; publication date: 07/11/2012.

    Bremer C, Höltke C, Kopka K, Schäfers M. A fluorescent photoprobe for the imaging of endothelin receptors. WO 2007/028599; 15/03/2007. EP 1931392; 18/06/2008.

    Kopka K, Levkau B, Schäfers M. 5-Pyrrolidinylsulfonyl isatin derivatives. WO 2006/074799; 20/07/2006. EP 1841759; 10/10/2007.