Feel free to add comments by clicking these icons on the sidebar

Free Neuropathology 2:7 (2021)

Case Report

Detailed neuropathologic report of COVID-19 complicated by large intracerebral hemorrhage and periventricular lesions with macrophagic infiltrates

Adrian Levine1, Carol Lee2, Craig Fava3, Frankie Tsang4, Kelly MacNeil5, Stephen T. Yip1,5, Veronica Hirsch-Reinshagen1

1 Department of Pathology and Laboratory Medicine, University of British Columbia, Vancouver, BC, Canada
2 Division of Forensic Pathology, Royal Columbian Hospital, Vancouver, BC, Canada
3 Division of Critical Care, Royal Columbian Hospital, BC, Canada
4 British Columbia Center for Disease Control, Vancouver, BC, Canada
5 Cancer Genetics & Genomics Laboratory, BC Cancer, Vancouver, BC, Canada

Corresponding author:
Veronica Hirsch-Reinshagen · Anatomical Pathology · Vancouver General Hospital · 899 West 12th Av · JPN Rm 1401 · Vancouver, BC · Canada · V5Z 1M9
Veronica.Hirsch@vch.ca

Submitted: 15 February 2021

Accepted: 16 March 2021

Copyedited by: Deanna Fang

Published: 25 March 2021

https://doi.org/10.17879/freeneuropathology-2021-3266

Keywords: COVID-19, Cerebral hemorrhage, Brain, Postmortem, Histology, Neuropathology

Abstract

Infection with the SARS-CoV-2 virus affects a wide range of systems. Significant involvement of the central nervous system has been described, including ischemic and hemorrhagic strokes. Thus far, neuropathologic reports of patients who passed away from COVID-19 have generally described non-specific findings, such as variable reactive gliosis and meningeal chronic inflammatory infiltrates, as well as the consequences of the infection’s systemic complications on the brain, including ischemic infarcts and hypoxic/ischemic encephalopathy. The neuropathological changes in patients with COVID-19 and large hemorrhagic strokes have not been described in detail. We report the case of an elderly male who had a long course of COVID-19 and ultimately passed away from a large intracerebral hemorrhage. In addition to acute hemorrhage, neuropathologic examination demonstrated non-specific reactive changes and chronic periventricular lesions with macrophagic and perivascular lymphocytic infiltrates without evidence of demyelination or presence of SARS-CoV-2 by PCR test. This manuscript expands the spectrum of reported neuropathological changes in patients with COVID-19.

Introduction

Intracerebral hemorrhage (ICH) is an uncommon complication of infection with severe acute respiratory syndrome coronavirus 2 (SARS-CoV-2) virus, affecting 0.5-7.9% of patients hospitalized with COVID-191–3. Therapeutic anticoagulation has been identified as the most common etiology1–3 and an important risk factor for ICH in COVID-194. In addition, other factors such as micro- and macrovascular thrombosis, endothelial dysfunction and endotheliitis may play important pathogenic roles in this setting. Despite this plethora of hypothesized factors, only a few neuropathological reports have included detailed histopathological brain evaluations of COVID-19 patients with large fatal ICH.

Post-mortem neuropathological evaluation of patients with COVID-19 have shown a range of histological changes and have been reviewed elsewhere5,6. The vast majority of cases show relatively mild and non-specific findings including variable and diffuse micro- and astrogliosis, and mild parenchymal and leptomeningeal infiltration by chronic inflammatory infiltrates, which could represent the histological features of an encephalopathy associated with severe systemic inflammation rather than specific COVID-19-related changes7. In addition, many cases show variable hypoxic-ischemic encephalopathy, infarcts associated with large vessel thromboembolism and variable hemorrhagic lesions from microhemorrhages to fatal ICH5,6.

Only three detailed neuropathological reports of patients with large ICH have been published to date and include a case of cerebellar hemorrhage thought to be most likely secondary to hypertensive vasculopathy8, one of hemorrhagic transformation of a large middle cerebral artery stroke9 and two cases reported by the authors as ICH in the context of lymphocytic panencephalitis, meningitis and diffuse petechial hemorrhages10. In the latter, no details are provided regarding the histological changes associated with, or the etiopathogenesis of, the ICH or petechial hemorrhages.

In this report, we expand on the neuropathological literature of COVID-19 cases by detailing the neuropathological findings in an elderly male with COVID-19 and fatal ICH. Some of the findings reported in this case were also seen in a younger individual with COVID-19 and fatal ICH for which we were unable to acquire consent for publication of clinical details. The histological similarities and differences between these two cases will be highlighted in the text.

Case presentation

This male patient, in his early 70s, presented to hospital with bilateral pneumonia secondary to COVID-19 infection that was confirmed by nasopharyngeal swab testing. Parallel testing for Influenza A, B and Respiratory Syncytial Virus were negative. His prior medical history included hypertension and significant hip osteoarthritis. He was diagnosed with septic shock and transferred to the Intensive Care Unit upon admission as he required vasopressors and mechanical ventilation. His mean arterial pressure was targeted to more than 65 mmHg while his systolic blood pressure (SBP) was kept below a ceiling of 180 to 200 mmHg to avoid ischemic brain injury. This was especially relevant in the context of his shock syndrome and prior history of hypertension. Only two SBP episodes over 180 mmHg, both of less than 30 min in duration, were recorded 4 and 19 days prior to his terminal ICH.

During his first week of admission, he developed renal failure, which was thought clinically secondary to acute tubular necrosis in the context of multisystem organ failure. He was placed on continuous renal replacement therapy (CRRT) one week after admission. This required local anticoagulation with unfractionated heparin titrated to obtain an activated partial thromboplastin time (aPTT) post-CRRT filter of 60 to 90 seconds. His international normalized ratio (INR) hovered around the upper normal limit of 1.2 during his entire hospitalization. Other relevant laboratory findings included an elevated d-dimer, C reactive protein and procalcitonin. He did not have evidence of pulmonary embolism during his hospitalization.

Figure 1. (A) CT scan showed a large left frontal ICH with intraventricular extension. (B) Coronal sections confirmed this ICH and left-to-right subfalcine herniation. (C) Leptomeningeal chronic inflammatory infiltrates were most prominent in the brainstem. (D) Immunohistochemistry for HLA-DR, a major histocompatibility class II cell surface receptor, highlighted the leptomeningeal chronic inflammatory infiltrates (arrow) and the mild-to-moderately increased brainstem microglial activation.

Nearly three weeks into his admission and two weeks after initiation of CRRT, the patient showed evidence of decreased level of consciousness. A computerized tomography scan demonstrated a left frontal intracerebral hemorrhage with intraventricular extension and subfalcine herniation (Fig. 1A). He died the next day after withdrawal of life-sustaining therapies. A brain-restricted autopsy was performed 7 days after death to aid in the determination of the etiology of the brain hemorrhage.

Gross examination of the brain revealed a weight of 1280 grams, an enlarged left hemisphere, subfalcine left-to-right herniation of the left anterior frontal lobe and bilateral hippocampal uncal herniations. Coronal sections confirmed a large ICH centered in the left frontal lobe in close proximity to the lateral ventricle with extension throughout the ventricular system (Fig. 1B). Away from the hemorrhage, no additional gross pathological changes were identified.

Microscopic examination revealed mild diffuse reactive changes (Fig. 1C and D) and focal periventricular lesions at the angles of the ventricles (Fig. 2). The diffuse reactive changes included rather mild leptomeningeal chronic inflammatory infiltrates, parenchymal reactive gliosis and very mildly increased perivascular CD3 T-lymphocytes. The leptomeningeal inflammatory infiltrates were composed predominantly of macrophages and CD3 T-cell lymphocytes found throughout the meninges, but were accentuated in the brainstem (Fig. 1C). Reactive gliosis, highlighted by mild-to-moderately increased immunoreactivity for human leukocyte antigen – DR isotype (HLA-DR) and glial fibrillary acidic protein (GFAP), was present predominantly in the brainstem and olfactory bulb. Similar changes were also seen in the younger individual. No microglial nodules were identified on hematoxylin and eosin (HE) stains. Two possible microglial nodules were identified on HLA-DR immunohistochemistry (IHC) in the medulla only.

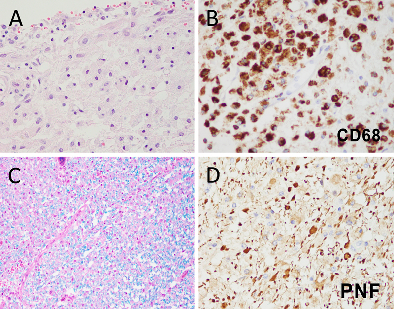
Figure 2. (A) Multifocal periventricular lesions showed loss of ependyma and significant infiltration by macrophages with scant accompanying lymphocytes. (B) CD68 highlighted the significant macrophagic infiltrates. (C) Luxol-fast blue showed mild loss of myelin, while phosphorylated neurofilament (PNF) IHC (D) showed associated axonal pathology with significant numbers of axonal spheroids.

Atypical periventricular lesions (Fig. 2) were seen at multiple locations including both temporal horns, left occipital horn, fourth ventricle and in close proximity to the anterior left frontal lateral ventricle at the edge of acutely hemorrhagic brain parenchyma. These lesions consisted of loss of ependymal lining, relatively well delimited macrophagic and lymphocytic infiltrates (Fig. 2A and B) and reactive vessels with plump endothelial cells. Axonal pathology, in the form of relatively frequent axonal spheroids without appreciable demyelination, was also present (Fig. 2C and D). Iron stains performed in several of these lesions were negative. The abundance of phagocytic macrophages and the absence of hemosiderin suggest that these lesions were older than the intracerebral hemorrhage and therefore not likely to be a reactive change to intraventricular blood. This type of lesion was not seen in the younger individual, who instead exhibited multifocal petechial hemorrhages and microscopic ischemic infarcts thought to be most compatible with embolic lesions. No definite evidence of thrombi or megakaryocytes was identified in either of the cases.

The neocortex, hippocampi, deep grey nuclei and cerebellum were unremarkable aside from some mild age-related neurodegenerative pathology. Pontine white matter tracts only showed several microscopic foci of amyloid precursor protein (APP) immunoreactive axonal pathology associated with micro- and astrogliosis. CD68 revealed absence of mature phagocytic macrophages in these lesions. These were interpreted as foci of axonal damage secondary to traction due to the left frontal and intraventricular ICH. No cerebral amyloid angiopathy, arteriolosclerosis, lacunar infarcts or other vascular changes were identified.

Polymerase chain reaction (PCR) test for the presence of SARS-CoV-2 RNA in multiple sections (medulla, hippocampus and olfactory bulbs) of formalin-fixed paraffin-embedded (FFPE) brain tissue was negative, including representation of the periventricular lesions. Similar results were obtained for the younger patient.

Discussion

Our cases showed three main pathological changes: (1) acute and fatal ICH, (2) diffuse reactive changes and (3) additional parenchymal lesions, either as multifocal chronic periventricular lesions in the elderly individual or as multifocal microhemorrhages and infarcts in the younger patient. The histopathological features of the periventricular lesions make them most compatible with localized tissue necrosis of unclear etiology. They were negative for SARS-CoV-2 RNA. To our knowledge, this type of lesion has not been studied extensively. A single report comparing the neuropathological substrate of periventricular white matter abnormalities in patients with major depression and in controls describes lesions with similar characteristics to those found in this case. These lesions were interpreted as corresponding most likely to ischemic insults and were found both in a patient with major depression and a control11. The pathogenesis of these lesions awaits further evaluation, but the fact that lesions similar to those seen in our older individual have been described in non-COVID cases raises the possibility that they are either nonspecific in etiology (e.g. associated with an episode of severe systemic illness) and/or can be brought about by different injury mechanisms. Furthermore, in our case, it is unclear whether these lesions predated the SARS-CoV-2 infection or developed as a consequence of it.

The close relationship of the acute left frontal ICH to changes suggestive of an underlying periventricular lesion raise the possibility that local loss of tissue integrity may play a predisposing role to ICH in COVID-19. A similar situation was observed in the younger individual, in whom multifocal petechial hemorrhages and microscopic ischemic infarcts were identified. These were interpreted as most likely due to microemboli in the context of severe COVID-19 and therapeutic anticoagulation for extracorporeal membrane oxygenation (ECMO).

Both patients were locally or systemically anticoagulated for therapeutic reasons and the risk of ICH in the setting of anticoagulation appears to be increased in patients with COVID-19. A study of 10 patients with COVID-19 supported on ECMO for acute respiratory distress syndrome (ARDS) showed a markedly increased incidence of hemorrhagic strokes compared to non-COVID patients on ECMO12.

The diffuse reactive changes identified in both COVID cases are similar to those reported previously in the literature and are at least partially explained as a manifestation of severe illness-related encephalopathy5–7. Several tissue blocks of both cases were tested for SARS-CoV-2 by PCR and were negative. Neither patient received antiviral therapies that could have decreased SARS-CoV-2 tissue levels. Formalin-fixed control lung tissue from an unrelated COVID-19 autopsy case with a shorter postmortem interval served as a positive control. Although the long post-mortem interval and formalin-fixation may have interfered with the detection of SARS-CoV-2 in our samples, these results are in line with previously published reports that have shown inconsistent and variable detection of SARS-CoV-2 in brain parenchyma by PCR and immunohistochemical methods7,8. Overall, this would suggest that the brain is not a site consistently affected by high viral loads of SARS-CoV-2 and raises the possibility that direct infection of the CNS tissue may not be the main pathogenic mechanism of COVID-19 neurologic manifestations.

In summary, the fatal ICH in two cases of COVID-19 were most likely due to a combination of anticoagulation and additional factors affecting the integrity of the CNS parenchyma. Additional chronic inflammatory infiltrates and glial reactive changes are at least partially explained by severe illness-related encephalopathy.

References

1. Kvernland, A. et al. Anticoagulation use and Hemorrhagic Stroke in SARS-CoV-2 Patients Treated at a New York Healthcare System [published online ahead of print, 2020 Aug 24]. Neurocrit Care. (2020) 1-12. https://doi.org/10.1007/s12028-020-01077-0

2. Dogra, S. et al. Hemorrhagic stroke and anticoagulation in COVID-19. J Stroke Cerebrovasc Dis. (2020) 29(8):104984. https://doi.org/10.1016/j.jstrokecerebrovasdis.2020.104984

3. Benger, M. v Intracerebral haemorrhage and COVID-19: Clinical characteristics from a case series. Brain Behav Immun. (2020) 88:940-944. https://doi.org/10.1016/j.bbi.2020.06.005

4. Melmed, KR. et al. Risk factors for intracerebral hemorrhage in patients with COVID-19 [published online ahead of print, 2020 Sep 24]. J Thromb Thrombolysis. (2020) 1-8. https://doi.org/10.1007/s11239-020-02288-0

5. Lou, JJ. et al. Neuropathology of COVID-19 (neuro-COVID): clinicopathological update. Free Neuropathol. (2021) 2:2. https://doi.org/10.17879/freeneuropathology-2021-2993

6. Mukerji, SS & Solomon, IH. What can we learn from brain autopsies in COVID-19?. Neurosci Lett. (2021) 742:135528. https://doi.org/10.1016/j.neulet.2020.135528

7. Deigendesch, N. et al. Correlates of critical illness-related encephalopathy predominate postmortem COVID-19 neuropathology. Acta Neuropathol. (2020) 140(4):583-586. https://doi.org/10.1007/s00401-020-02213-y

8. Al-Dalahmah, O. et al. Neuronophagia and microglial nodules in a SARS-CoV-2 patient with cerebellar hemorrhage. Acta Neuropathol Commun. (2020) 8(1):147. Published 2020 Aug 26. https://doi.org/10.1186/s40478-020-01024-2

9. Hanley, B. et al. Histopathological findings and viral tropism in UK patients with severe fatal COVID-19: a post-mortem study. Lancet Microbe. (2020) 1(6):e245-e253. https://doi.org/10.1016/S2666-5247(20)30115-4

10. von Weyhern, CH. et al. Early evidence of pronounced brain involvement in fatal COVID-19 outcomes. Lancet. (2020) 395(10241):e109. https://doi.org/10.1016/S0140-6736(20)31282-4

11. Thomas, AJ. et al. A neuropathological study of periventricular white matter hyperintensities in major depression. J Affect Disord. (2003) 76(1-3):49-54. https://doi.org/10.1016/s0165-0327(02)00064-2

12. Usman, AA. et al. A Case Series of Devastating Intracranial Hemorrhage During Venovenous Extracorporeal Membrane Oxygenation for COVID-19. J Cardiothorac Vasc Anesth. (2020) 34(11):3006-3012. https://doi.org/10.1053/j.jvca.2020.07.063

Copyright: © 2021 The author(s). This is an open access article distributed under the terms of the Creative Commons Attribution 4.0 International License (https://creativecommons.org/licenses/by/4.0/), which permits unrestricted use, distribution, and reproduction in any medium, provided the original author and source are credited, a link to the Creative Commons license is provided, and any changes are indicated. The Creative Commons Public Domain Dedication waiver (https://creativecommons.org/publicdomain/zero/1.0/) applies to the data made available in this article, unless otherwise stated.